Seorang pria Taiwan berusia 56 tahun harus menjalani tindakan operasi untuk mengeluarkan kelapa yang menyangkut di rektumnya. Pria tersebut memasukkan kelapa berukuran 9 cm dari anusnya.
Dikutip dari Daily Mail UK, pria tersebut datang Rumah Sakit E-DA, di Kota Kaohsiung, Taiwan untuk mendapatkan pertolongan medis. Dirinya mengaku mengalami sembelit selama 2 hari dan mengeluh tidak bisa buang air kecil, serta adanya sakit di perut.
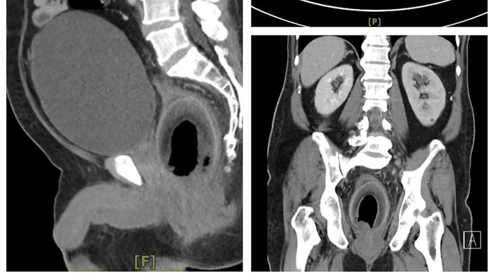
Setelah mendengar keluhan dari pasien, dokter pun melakukan beberapa tindakan awal seperti CT scan. Hasilnya menunjukkan buah kelapa tersebut tersangkut di rektumnya, menekan uretra dan mencegahnya untuk bisa kencing.
ADVERTISEMENT
SCROLL TO CONTINUE WITH CONTENT
Kelapa berukuran panjang 9 cm tersebut kemudian diambil melalui laparotomi, sebuah operasi yang melibatkan pembukaan perut. Petugas medis tidak mengungkapkan kapan pria itu diperbolehkan pulang.
Prosedur laparotomi seringkali memerlukan rawat inap di rumah sakit hingga lima hari dan masa pemulihan antara enam hingga delapan minggu.
Menurut The National Health Service (NHS) United Kingdom, kasus-kasus memasukkan benda-benda tidak biasa ke dalam tubuh atau area intim oleh manusia sudah ada sejak abad ke-16.
Dokter-dokter NHS sebelumnya juga pernah menemukan kasus serupa seperti seseorang yang memasukkan gabus, gelas plastik, bahkan mainan-anak melalui anus mereka.
Memasukkan benda ke dalam rektum memiliki sejumlah risiko. Selain tersangkut, benda tersebut juga berpotensi melubangi usus yang berakibat fatal seperti menyebabkan infeksi pada organ lain.
(dpy/kna)











































