Foto: Melihat Lebih Dekat Cacing Hati yang Menginfeksi Hewan Kurban

Beberapa hari usai Idul Adha muncul sejumlah laporan hewan kurban yang terjangkit parasit cacing hati. Termasuk salah satu di antaranya sapi pemberian Presiden Joko Widodo untuk warga di Bantul. (Foto ilustrasi: Uje Hartono/detikcom)
Parasit cacing hati, fasciola sp, ini hidup di saluran empedu inangnya. (Foto: Instagram/permanasnapchat)
Ketika larva cacing termakan, dalam waktu beberapa bulan cacing akan mulai menimbulkan masalah dengan memakan sel-sel hati. (Foto ilustrasi: Adhar Muttaqin)
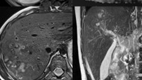
Meski cacing hati banyak ditemukan di hewan ternak, manusia juga bisa terjangkit. Ini adalah contoh rontgen anak 9 tahun di Azerbaijan yang mengalami pembengkakan hati akibat infeksi cacing. (Foto: Instagram/russian.radiology)
Contoh hati sapi yang penuh oleh parasit. Cacing dalam foto ini berwarna abu-abu kehitaman dan berbentuk pipih. (Foto: Instagram/drjalo_onthego)
Parasit cacing di hati seekor domba. Menurut pakar kesehatan hewan, meski hati terjangkit parasit namun seharusnya daging masih aman untuk dimakan. (Foto: Instagram/panit_chaya)
Menurut Badan Kesehatan Dunia (WHO) sekitar 2,4 juta orang di 70 negara diperkirakan terinfeksi oleh parasit cacing hati ini. (Foto ilustrasi: Uje Hartono/detikcom)
Dalam jangka waktu lama cacing hati dapat menimbulkan komplikasi kulit kuning, anemia, nyeri hebat, infeksi bakteri, dan pengerasan hati. (Foto: Edzan Raharjo/detikcom)
Manusia biasanya terjangkit oleh parasit ketika mengonsumsi sayuran atau minum air yang terkontaminasi oleh kista larva cacing. (Foto: Instagram/jamsurina836024)
Bila seseorang terdiagnosa, infeksi oleh cacing hati dapat diobati dengan obat triclabendazole. (Foto: Instagram/christian_genova)
Beberapa hari usai Idul Adha muncul sejumlah laporan hewan kurban yang terjangkit parasit cacing hati. Termasuk salah satu di antaranya sapi pemberian Presiden Joko Widodo untuk warga di Bantul. (Foto ilustrasi: Uje Hartono/detikcom)
Parasit cacing hati, fasciola sp, ini hidup di saluran empedu inangnya. (Foto: Instagram/permanasnapchat)
Ketika larva cacing termakan, dalam waktu beberapa bulan cacing akan mulai menimbulkan masalah dengan memakan sel-sel hati. (Foto ilustrasi: Adhar Muttaqin)
Meski cacing hati banyak ditemukan di hewan ternak, manusia juga bisa terjangkit. Ini adalah contoh rontgen anak 9 tahun di Azerbaijan yang mengalami pembengkakan hati akibat infeksi cacing. (Foto: Instagram/russian.radiology)
Contoh hati sapi yang penuh oleh parasit. Cacing dalam foto ini berwarna abu-abu kehitaman dan berbentuk pipih. (Foto: Instagram/drjalo_onthego)
Parasit cacing di hati seekor domba. Menurut pakar kesehatan hewan, meski hati terjangkit parasit namun seharusnya daging masih aman untuk dimakan. (Foto: Instagram/panit_chaya)
Menurut Badan Kesehatan Dunia (WHO) sekitar 2,4 juta orang di 70 negara diperkirakan terinfeksi oleh parasit cacing hati ini. (Foto ilustrasi: Uje Hartono/detikcom)
Dalam jangka waktu lama cacing hati dapat menimbulkan komplikasi kulit kuning, anemia, nyeri hebat, infeksi bakteri, dan pengerasan hati. (Foto: Edzan Raharjo/detikcom)
Manusia biasanya terjangkit oleh parasit ketika mengonsumsi sayuran atau minum air yang terkontaminasi oleh kista larva cacing. (Foto: Instagram/jamsurina836024)
Bila seseorang terdiagnosa, infeksi oleh cacing hati dapat diobati dengan obat triclabendazole. (Foto: Instagram/christian_genova)