Sakit Perut Sebelah Kanan Pertanda Usus Buntu? Belum Tentu!

Sembelit atau susah air besar ditandai dengan adanya rasa sakit sebelah kanan atau kiri bawah. Biasanya, sembelit diatasi dengan pemberian obat-obatan laksatif. (Foto: Getty Images)

Penyakit lainnya yang bisa menimbulkan rasa sakit di perut sebelah kanan ialah endometriosis. Endometriosis adalah suatu kondisi di mana jaringan dari rahim tumbuh di luar rahim, seperti di ovarium kanan, perut, atau tuba fallopi. (Foto: Getty Images)

Infeksi saluran kencing dapat saja merambat hingga ke ginjal. Akibatnya, tak hanya bagian kanan perut saja yang mengalami sakit, namun juga bisa hingga ke punggung atau pinggang. (Foto: thinkstock)

Kemungkinan lain memang karena memang terkena radang usus buntu. Sakit perut kanan merupakan gejala paling akrab dari apendisitis atau radang usus buntu. (Foto: Thinkstock)

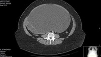
Kista ovarium kanan yang membesar menimbulkan rasa sakit pada bagian tersebut. Biasanya, rasa sakit ini muncul pada awal atau akhir periode menstruasi. (Foto: BMJ Case Reports)

Bagi orang di atas usia 60 tahun ke atas, gejala sakit perut di sebelah kanan diikuti dengan sembelit adalah pertanda yang harus diwaspadai sebagai kanker usus besar. Tak hanya itu, penyakit ini mampu membuat berat badan seseorang menurun secara drastis. (Foto: Thinkstock)

Rasa sakit perut di bagian kanan bisa saja terjadi karena adanya cedera misalnya karena adanya benturan saat mengalami kecelakaan. (Foto: thinkstock)

Kolik bilier merupakan rasa sakit yang menyerang perut sebelah kanan secara tiba-tiba. Penyakit ini disebabkan oleh sumbatan batu pada saluran empedu. (Foto: Thinkstock)

Hepatitis pun kerap disertai dengan tanda yang sama dengan penyakit yang sudah disebutkan sebelumnya. Tapi, sebaiknya jangan mendiagnosis diri sendiri ya. Anda tetap harus memeriksakan diri ke dokter untuk diagnosis yang lebih valid. (Foto: Getty Images)

Sembelit atau susah air besar ditandai dengan adanya rasa sakit sebelah kanan atau kiri bawah. Biasanya, sembelit diatasi dengan pemberian obat-obatan laksatif. (Foto: Getty Images)
Penyakit lainnya yang bisa menimbulkan rasa sakit di perut sebelah kanan ialah endometriosis. Endometriosis adalah suatu kondisi di mana jaringan dari rahim tumbuh di luar rahim, seperti di ovarium kanan, perut, atau tuba fallopi. (Foto: Getty Images)
Infeksi saluran kencing dapat saja merambat hingga ke ginjal. Akibatnya, tak hanya bagian kanan perut saja yang mengalami sakit, namun juga bisa hingga ke punggung atau pinggang. (Foto: thinkstock)
Kemungkinan lain memang karena memang terkena radang usus buntu. Sakit perut kanan merupakan gejala paling akrab dari apendisitis atau radang usus buntu. (Foto: Thinkstock)
Kista ovarium kanan yang membesar menimbulkan rasa sakit pada bagian tersebut. Biasanya, rasa sakit ini muncul pada awal atau akhir periode menstruasi. (Foto: BMJ Case Reports)
Bagi orang di atas usia 60 tahun ke atas, gejala sakit perut di sebelah kanan diikuti dengan sembelit adalah pertanda yang harus diwaspadai sebagai kanker usus besar. Tak hanya itu, penyakit ini mampu membuat berat badan seseorang menurun secara drastis. (Foto: Thinkstock)
Rasa sakit perut di bagian kanan bisa saja terjadi karena adanya cedera misalnya karena adanya benturan saat mengalami kecelakaan. (Foto: thinkstock)
Kolik bilier merupakan rasa sakit yang menyerang perut sebelah kanan secara tiba-tiba. Penyakit ini disebabkan oleh sumbatan batu pada saluran empedu. (Foto: Thinkstock)
Hepatitis pun kerap disertai dengan tanda yang sama dengan penyakit yang sudah disebutkan sebelumnya. Tapi, sebaiknya jangan mendiagnosis diri sendiri ya. Anda tetap harus memeriksakan diri ke dokter untuk diagnosis yang lebih valid. (Foto: Getty Images)