Keren! Begini Potret Perubahan Gigi Setelah Gunakan Behel

Gigi yang tidak rapi terkadang membuat seseorang merasa kurang percaya diri. Nah, salah satu solusi yang bisa dilakukan adalah dengan melakukan perawatan khusus seperti menggunakan behel. (Foto: instagram/orthofarallonescali)
Gigi yang tidak rapi terkadang membuat seseorang merasa kurang percaya diri. Nah, salah satu solusi yang bisa dilakukan adalah dengan melakukan perawatan khusus seperti menggunakan behel. (Foto: instagram/orthofarallonescali)
Gigi yang tidak rapi terkadang membuat seseorang merasa kurang percaya diri. Nah, salah satu solusi yang bisa dilakukan adalah dengan melakukan perawatan khusus seperti menggunakan behel. (Foto: instagram/orthofarallonescali)
Smile, sudah rapikan giginya? (Foto: instagram/orthofarallonescali)

Namun jangan lupa juga untuk rajin kontrol ke dokter. Sebab gigi yang tidak pernah dikontrol bisa meradang lho. (Foto: instagram/orthofarallonescali)
"Kalau terus-terusan pakai kawat gigi dan tidak pernah kontrol, bisa menimbulkan peradangan. Kalau peradangan berlanjut dan nggak diobati bisa berdampak ke tulang," tutur drg Rachel Sifra dari HHDC Clinic Office Suit Thamrin City. (Foto: instagram/orthofarallonescali)
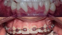
Dalam foto ini, Dra Angely Collazos selaku pemilik instagram juga mengatakan bahwa perubahan pada gigi sudah dapat terlihat hanya dalam tiga kali kontrol lho. (Foto: instagram/orthofarallonescali)
Jadi, gimana? tertarik merapikan gigi dengan behel? (Foto: instagram/orthofarallonescali)
Gigi yang tidak rapi terkadang membuat seseorang merasa kurang percaya diri. Nah, salah satu solusi yang bisa dilakukan adalah dengan melakukan perawatan khusus seperti menggunakan behel. (Foto: instagram/orthofarallonescali)
Gigi yang tidak rapi terkadang membuat seseorang merasa kurang percaya diri. Nah, salah satu solusi yang bisa dilakukan adalah dengan melakukan perawatan khusus seperti menggunakan behel. (Foto: instagram/orthofarallonescali)
Gigi yang tidak rapi terkadang membuat seseorang merasa kurang percaya diri. Nah, salah satu solusi yang bisa dilakukan adalah dengan melakukan perawatan khusus seperti menggunakan behel. (Foto: instagram/orthofarallonescali)
Smile, sudah rapikan giginya? (Foto: instagram/orthofarallonescali)
Namun jangan lupa juga untuk rajin kontrol ke dokter. Sebab gigi yang tidak pernah dikontrol bisa meradang lho. (Foto: instagram/orthofarallonescali)
Kalau terus-terusan pakai kawat gigi dan tidak pernah kontrol, bisa menimbulkan peradangan. Kalau peradangan berlanjut dan nggak diobati bisa berdampak ke tulang, tutur drg Rachel Sifra dari HHDC Clinic Office Suit Thamrin City. (Foto: instagram/orthofarallonescali)
Dalam foto ini, Dra Angely Collazos selaku pemilik instagram juga mengatakan bahwa perubahan pada gigi sudah dapat terlihat hanya dalam tiga kali kontrol lho. (Foto: instagram/orthofarallonescali)
Jadi, gimana? tertarik merapikan gigi dengan behel? (Foto: instagram/orthofarallonescali)