Deretan Foto X-Ray yang Bikin Merinding

12 Juni 2015 lalu, RS anak di Sydney memperlihatkan sebuah foto rontgen dari dada bayi yang baru lahir prematur.

Dari Indonesia ada foto rontgen dari Orangutan Sumatera (Pongo abelii) yang memiliki 60 pelet senapan angin di jasadnya. Ngeri...

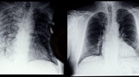
Selanjutnya, ada foto dada seorang pasien COVID-19 (kiri) dan foto dada seseorang dengan paru-paru normal. Foto rontgen ini diambil pada 28 April 2021 lalu di Jerman.

Lalu, ada foto rontgen dari paru-paru seorang perokok.

Foto rontgen ini diklaim sebagai foto sinar-x pertama yang dibuat oleh Profesor Konrad Roentgen pada tahun 1898.

Sebuah peluru terlihat bersanga di dalam tengkorak di Baghdad, Irak. Diketahui, peluru tersebut merupakan peluru nyasar imbas konflik pada 22 April 2003 lalu.

Lanjut, ada sebuah foto rontgen dari korban serangan bom bunuh diri di Palestina pada Mei 2002. Terlihat ada lebih dari selusin paku yang bersarang di dalam tubuh korban.

Seorang pengungsi Rohingya di Bangladesh, memperlihatkan x-ray yang menunjukkan sebuah peluru bersarang di lututnya pada 12 September 2017 lalu.

12 Juni 2015 lalu, RS anak di Sydney memperlihatkan sebuah foto rontgen dari dada bayi yang baru lahir prematur.
Dari Indonesia ada foto rontgen dari Orangutan Sumatera (Pongo abelii) yang memiliki 60 pelet senapan angin di jasadnya. Ngeri...
Selanjutnya, ada foto dada seorang pasien COVID-19 (kiri) dan foto dada seseorang dengan paru-paru normal. Foto rontgen ini diambil pada 28 April 2021 lalu di Jerman.
Lalu, ada foto rontgen dari paru-paru seorang perokok.
Foto rontgen ini diklaim sebagai foto sinar-x pertama yang dibuat oleh Profesor Konrad Roentgen pada tahun 1898.
Sebuah peluru terlihat bersanga di dalam tengkorak di Baghdad, Irak. Diketahui, peluru tersebut merupakan peluru nyasar imbas konflik pada 22 April 2003 lalu.
Lanjut, ada sebuah foto rontgen dari korban serangan bom bunuh diri di Palestina pada Mei 2002. Terlihat ada lebih dari selusin paku yang bersarang di dalam tubuh korban.
Seorang pengungsi Rohingya di Bangladesh, memperlihatkan x-ray yang menunjukkan sebuah peluru bersarang di lututnya pada 12 September 2017 lalu.