5 Foto X-ray Bikin Merinding, Barbel Nyangkut di Anus sampai Penampakan 'Susuk'

Seorang pria di Brasil mengeluh sakit perut setelah barbel nyangkut di anusnya selama dua hari. (Foto: International Journal of Surgery Case Reports)

Eksperimen seksual yang aneh mengakibatkan seorang remaja laki-laki berusia 12 tahun menjalani operasi setelah dia memasukkan seluruh termometer ke dalam penisnya. Akibatnya, termometer tersebut tersangkut hingga ke dalam kandung kemihnya. (Foto: Asian Journal of Surgery)

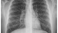
Foto X-ray remaja berusia 17 tahun di Kanada yang mengalami kondisi langka 'popcorn lung' akibat kebiasaan menghisap vape. (Foto: Canadian Medical Association Journal)

Penampakan X-ray seorang wanita di Malaysia yang mengeluh sakit perut nyeri perut kronis. Setelah diperiksa, ternyata ada banyak jarum di tubuhnya. (Foto: Journal of Radiology Case Reports)

Diprediksi ada sekitar 800 jarum 'susuk' yang bersarang di tubuh wanita ini. Radiografi perut dari pasien yang sama menunjukkan jarum berada paling banyak di area panggul. (Foto: Journal of Radiology Case Reports)  

Seorang pria di Brasil mengeluh sakit perut setelah barbel nyangkut di anusnya selama dua hari. (Foto: International Journal of Surgery Case Reports)
Eksperimen seksual yang aneh mengakibatkan seorang remaja laki-laki berusia 12 tahun menjalani operasi setelah dia memasukkan seluruh termometer ke dalam penisnya. Akibatnya, termometer tersebut tersangkut hingga ke dalam kandung kemihnya. (Foto: Asian Journal of Surgery)
Foto X-ray remaja berusia 17 tahun di Kanada yang mengalami kondisi langka popcorn lung akibat kebiasaan menghisap vape. (Foto: Canadian Medical Association Journal)
Penampakan X-ray seorang wanita di Malaysia yang mengeluh sakit perut nyeri perut kronis. Setelah diperiksa, ternyata ada banyak jarum di tubuhnya. (Foto: Journal of Radiology Case Reports)
Diprediksi ada sekitar 800 jarum susuk yang bersarang di tubuh wanita ini. Radiografi perut dari pasien yang sama menunjukkan jarum berada paling banyak di area panggul. (Foto: Journal of Radiology Case Reports)