Foto Temuan Benda Asing di Tubuh Manusia, Ada Kelapa sampai Belut Hidup!

Salah satu contoh kasus dialami oleh seorang pria di Iran dan dipublikasikan di Journal of Medical Case Reports. Pasien berusia 36 tahun, datang ke RS dengan nyeri perut kronis, sering muntah, serta intoleransi terhadap cairan dan makanan. Dokter menemukan 452 benda logam di perutnya, seperti kunci hingga mur. (Foto: Journal of Medical Case Report).

Kasus lain terjadi di Taiwan dan dipublikasikan di di British Journal of Surgery pada tahun 2023, seorang pasien berusia 56 tahun ditemukan kelapa bersarang di tubuhnya. Buah tropis tersebut diduga untuk rangsangan saat melakukan masturbasi. (Foto: Journal of Medical Case Report).

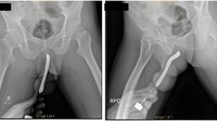
Ada juga kasus dari Indonesia. Pria yang tak disebutkan namanya dilaporkan mengalami rasa sakit yang sangat amat setelah memasukkan sikat gigi ke dalam penisnya, yang kemudian patah saat berhubungan seks. (Foto: International Journal of Surgery Case Reports).

Kasus benda ‘nyangkut’ juga dialami oleh anak-anak. Bocah tersebut kemudian menjalani radiografi pada leher, dada, dan perut. Berdasarkan hasilnya, pensil yang tertelan sepanjang 10 cm itu tertancap di perutnya. (Foto: Journal PlumX Metrics).

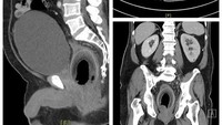
Selain benda, ada juga kasus temuan belut hidup bersarang di usus pasien. Pasien mengatakan kepada staf rumah sakit, ia telah memasukkan belut hidup yang panjangnya kira-kira 65 cm melalui anus demi kepuasan seks, sesaat sebelum mulai mengalami nyeri perut yang luar biasa. (Foto: Rumah Sakit Universitas Viet Duc).

Salah satu contoh kasus dialami oleh seorang pria di Iran dan dipublikasikan di Journal of Medical Case Reports. Pasien berusia 36 tahun, datang ke RS dengan nyeri perut kronis, sering muntah, serta intoleransi terhadap cairan dan makanan. Dokter menemukan 452 benda logam di perutnya, seperti kunci hingga mur. (Foto: Journal of Medical Case Report).
Kasus lain terjadi di Taiwan dan dipublikasikan di di British Journal of Surgery pada tahun 2023, seorang pasien berusia 56 tahun ditemukan kelapa bersarang di tubuhnya. Buah tropis tersebut diduga untuk rangsangan saat melakukan masturbasi. (Foto: Journal of Medical Case Report).
Ada juga kasus dari Indonesia. Pria yang tak disebutkan namanya dilaporkan mengalami rasa sakit yang sangat amat setelah memasukkan sikat gigi ke dalam penisnya, yang kemudian patah saat berhubungan seks. (Foto: International Journal of Surgery Case Reports).
Kasus benda ‘nyangkut’ juga dialami oleh anak-anak. Bocah tersebut kemudian menjalani radiografi pada leher, dada, dan perut. Berdasarkan hasilnya, pensil yang tertelan sepanjang 10 cm itu tertancap di perutnya. (Foto: Journal PlumX Metrics).
Selain benda, ada juga kasus temuan belut hidup bersarang di usus pasien. Pasien mengatakan kepada staf rumah sakit, ia telah memasukkan belut hidup yang panjangnya kira-kira 65 cm melalui anus demi kepuasan seks, sesaat sebelum mulai mengalami nyeri perut yang luar biasa. (Foto: Rumah Sakit Universitas Viet Duc).