Hasil Foto X-Ray yang Bikin Geleng-geleng, Temuan Benda Aneh 'Nyangkut' di Anus

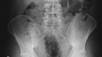
Tahun 2022, seorang pria berusia 50 di Iran tahun mencoba memasukkan botol berukuran 250 cc air ke dalam anusnya. Setelah 3 hari, ia mengalami gejala anoreksia, nyeri perut, dan tidak bisa buang air besar. (Foto: Clinical Case Reports)

Seorang pria berusia 47 tahun di Nepal pergi ke unit gawat darurat secara tidak sengaja memasukkan gelas ke dalam anus tiga hari sebelumnya. Ia tidak bisa buang air besar dan mengaku memasukkan gelas tersebut ketika mabuk. (Foto: Journal of Nepal Medication Association)

Pria berusia 56 di Nepal datang ke unit gawat darurat rumah sakit setelah memasukkan botol kaleng bekas ke dalam anusnya, 6 pekan sebelum ke dokter. Ia mengalami tinja keras, muntah, dan sakit perut. (Foto: International Journal of Surgery Case Reports)

Seorang pria 41 tahun di Amerika Serikat dibawa ke unit gawat darurat dengan keluhan nyeri panggul hebat, akibat benda besar berbentuk oval dimasukkan 2 jam sebelum pasien datang. Setelah dicek dokter, itu adalah kelereng berbentuk telur. (Foto: International Journal of Surgery Case Reports)

Seorang penghuni penjara 37 tahun di Portugal dilarikan ke unit gawat darurat setelah tutup deodoran menyangkut di anusnya selama 6 hari. Diketahui belakangan, tutup deodoran tersebut digunakan untuk menyimpan jarum suntik. (Foto: Portuguese Journal of Gastroenterology)

Tahun 2022, seorang pria berusia 50 di Iran tahun mencoba memasukkan botol berukuran 250 cc air ke dalam anusnya. Setelah 3 hari, ia mengalami gejala anoreksia, nyeri perut, dan tidak bisa buang air besar. (Foto: Clinical Case Reports)
Seorang pria berusia 47 tahun di Nepal pergi ke unit gawat darurat secara tidak sengaja memasukkan gelas ke dalam anus tiga hari sebelumnya. Ia tidak bisa buang air besar dan mengaku memasukkan gelas tersebut ketika mabuk. (Foto: Journal of Nepal Medication Association)
Pria berusia 56 di Nepal datang ke unit gawat darurat rumah sakit setelah memasukkan botol kaleng bekas ke dalam anusnya, 6 pekan sebelum ke dokter. Ia mengalami tinja keras, muntah, dan sakit perut. (Foto: International Journal of Surgery Case Reports)
Seorang pria 41 tahun di Amerika Serikat dibawa ke unit gawat darurat dengan keluhan nyeri panggul hebat, akibat benda besar berbentuk oval dimasukkan 2 jam sebelum pasien datang. Setelah dicek dokter, itu adalah kelereng berbentuk telur. (Foto: International Journal of Surgery Case Reports)
Seorang penghuni penjara 37 tahun di Portugal dilarikan ke unit gawat darurat setelah tutup deodoran menyangkut di anusnya selama 6 hari. Diketahui belakangan, tutup deodoran tersebut digunakan untuk menyimpan jarum suntik. (Foto: Portuguese Journal of Gastroenterology)