Momen Dokter Temukan Cacing Hidup di Tubuh Manusia, Foto-fotonya Bikin Merinding

Seorang anak laki-laki (3) di Madura, Jawa Timur, datang ke Rumah Sakit Umum Soebandi dengan keluhan konstipasi atau sembelit dan perut kembung selama tiga hari. Sehari setelah dirawat, pasien mengeluh perut tidak nyaman dan kembung. Pada hari pertama observasi di rumah sakit, pasien muntah cacing dan diagnosis askariasis. (Foto: Journal of Medical Case Reports).

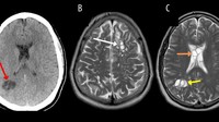
Larva cacing pita parasit ditemukan di otak seorang pria (52) Amerika Serikat yang mengeluh mengalami migrainnya selama berminggu-minggu. Infeksi cacing pita ini diyakini disebabkan oleh konsumsi daging yang kurang matang. (Foto: American Journal of Case Reports).

Seorang dokter UGD di Florida membagikan salah satu hasil rontgen paling mencengangkan yang pernah dilihatnya. Foto rontgen tersebut memperlihatkan tubuh bagian bawah seseorang dipenuhi ratusan telur cacing pita.  (Foto: Tangkapan Layar X).

Pria berusia 70 tahun di China membuat para dokter terkejut setelah menemukan cacing parasit hidup di perutnya. Lima cacing pipih berbentuk daun menggeliat di saluran empedu pasien, jaringan organ yang mengangkut cairan pencernaan dari hati ke usus kecil. Dokter mengidentifikasi parasit ini sebagai clonorchis sinensis, spesies cacing hati yang ditemukan pada ikan dan udang setengah matang.  (Foto: New England Journal of Medicine).

Laporan kasus yang dipublikasikan di jurnal medis Cureus mengangkat temuan menarik pada seorang remaja perempuan dengan keluhan nyeri perut yang ternyata bukan hanya soal usus buntu. Dokter menemukan adanya infeksi cacing kremi (pinworms) di dalam usus buntu, suatu kondisi langka yang jarang terdiagnosis secara klinis. (Foto: Journal Medis Cureus).

Seorang anak laki-laki (3) di Madura, Jawa Timur, datang ke Rumah Sakit Umum Soebandi dengan keluhan konstipasi atau sembelit dan perut kembung selama tiga hari. Sehari setelah dirawat, pasien mengeluh perut tidak nyaman dan kembung. Pada hari pertama observasi di rumah sakit, pasien muntah cacing dan diagnosis askariasis. (Foto: Journal of Medical Case Reports).
Larva cacing pita parasit ditemukan di otak seorang pria (52) Amerika Serikat yang mengeluh mengalami migrainnya selama berminggu-minggu. Infeksi cacing pita ini diyakini disebabkan oleh konsumsi daging yang kurang matang. (Foto: American Journal of Case Reports).
Seorang dokter UGD di Florida membagikan salah satu hasil rontgen paling mencengangkan yang pernah dilihatnya. Foto rontgen tersebut memperlihatkan tubuh bagian bawah seseorang dipenuhi ratusan telur cacing pita.  (Foto: Tangkapan Layar X).
Pria berusia 70 tahun di China membuat para dokter terkejut setelah menemukan cacing parasit hidup di perutnya. Lima cacing pipih berbentuk daun menggeliat di saluran empedu pasien, jaringan organ yang mengangkut cairan pencernaan dari hati ke usus kecil. Dokter mengidentifikasi parasit ini sebagai clonorchis sinensis, spesies cacing hati yang ditemukan pada ikan dan udang setengah matang.  (Foto: New England Journal of Medicine).
Laporan kasus yang dipublikasikan di jurnal medis Cureus mengangkat temuan menarik pada seorang remaja perempuan dengan keluhan nyeri perut yang ternyata bukan hanya soal usus buntu. Dokter menemukan adanya infeksi cacing kremi (pinworms) di dalam usus buntu, suatu kondisi langka yang jarang terdiagnosis secara klinis. (Foto: Journal Medis Cureus).