Foto Rontgen di Luar Nalar, Barang Aneh di Tubuh Termasuk Benda Diduga 'Susuk'

Seorang pria di Kalimantan Timur mengeluhkan sakit di alat kelaminnya. Ternyata, pria 48 tahun itu memasukkan sejumlah benda asing seperti kabel listrik, alat ekstraktor kartu SIM, hingga karet gelang. (Foto: Radiology Cases Reports)

Seorang pria 22 tahun di Nepal pergi ke rumah sakit karena keluhan sakit perut. Ternyata, ada pisau berukuran 5 inci atau sekitar 15 cm menyangkut di dalam perutnya. (Foto: Cureus Journal of Medical Science)

Bocah berusia dua tahun di Peru secara tidak sengaja menelan delapan jarum suntik saat ibunya sedang bekerja. (San Martin Regional Government)

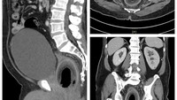
Dokter menemukan sebuah kelapa di dalam rektum seorang pria di Taiwan. Setelah di rontgen, kelapa itu berukuran panjang sekitar 7,5 cm dan lebar 5,7 cm. (Foto: British Journal of Surgery)

Seorang pria di Brasil mengeluhkan sakit perut. Ternyata ada barbel yang menyangkut di anusnya selama dua hari. (International Journal of Surgery Case Reports)

Sebuah hasil rontgen menunjukkan ada sekitar 800 jarum 'susuk' yang bersarang di tubuh seorang wanita. Radiografi perut dari pasien yang sama juga menunjukkan jarum berada paling banyak di area panggul. (Foto: Journal of Radiology Case Reports)

Seorang pria di Kalimantan Timur mengeluhkan sakit di alat kelaminnya. Ternyata, pria 48 tahun itu memasukkan sejumlah benda asing seperti kabel listrik, alat ekstraktor kartu SIM, hingga karet gelang. (Foto: Radiology Cases Reports)
Seorang pria 22 tahun di Nepal pergi ke rumah sakit karena keluhan sakit perut. Ternyata, ada pisau berukuran 5 inci atau sekitar 15 cm menyangkut di dalam perutnya. (Foto: Cureus Journal of Medical Science)
Bocah berusia dua tahun di Peru secara tidak sengaja menelan delapan jarum suntik saat ibunya sedang bekerja. (San Martin Regional Government)
Dokter menemukan sebuah kelapa di dalam rektum seorang pria di Taiwan. Setelah di rontgen, kelapa itu berukuran panjang sekitar 7,5 cm dan lebar 5,7 cm. (Foto: British Journal of Surgery)
Seorang pria di Brasil mengeluhkan sakit perut. Ternyata ada barbel yang menyangkut di anusnya selama dua hari. (International Journal of Surgery Case Reports)
Sebuah hasil rontgen menunjukkan ada sekitar 800 jarum susuk yang bersarang di tubuh seorang wanita. Radiografi perut dari pasien yang sama juga menunjukkan jarum berada paling banyak di area panggul. (Foto: Journal of Radiology Case Reports)