Ngilu! Sepanjang Ini Kabel USB yang Dikeluarkan Dokter dari Alat Kelamin Pria

Seorang mahasiswa berusia 21 tahun mencoba memasukkan kabel USB ke uretra atau saluran penisnya. Naas, kabel tersebut tidak bisa dicabut keluar lagi. (Foto: Jurnal Medis Cureus)
Dari hasil CT scan, pemuda itu mendorong kabel USB melingkar begitu dalam di uretranya hingga masuk ke kandung kemih, dan akhirnya tersangkut. Ia harus dioperasi untuk mengeluarkan kabel USB tersebut, menjalani pengobatan hingga bisa pulih kembali. (Foto: Jurnal Medis Cureus)
Kejadian serupa juga dialami remaja laki-laki berusia 15 tahun di Inggris. Ia mencoba mengukur bagian dalam penisnya dengan kabel USB, hingga kabel terikat dan tidak bisa dikeluarkan. (Foto: Urology Case Reports)
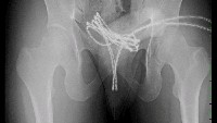
Pria berusia 41 tahun di Indonesia memasukkan kabel ke penisnya untuk 'kenikmatan seksual'. Ia mengaku menggunakan teknik masturbasi itu hingga lima kali seminggu. (Foto: Radiology Case Reports)
Ia pergi ke Rumah Sakit Umum Dr Soetmo Surabaya setelah mengeluh sakit perut saat buang air kecil. Diketahui bahwa ada kabel sepanjang 80 cm terdorong terlalu dalam hingga tersangkut. (Foto: Radiology Case Reports)
Seorang mahasiswa berusia 21 tahun mencoba memasukkan kabel USB ke uretra atau saluran penisnya. Naas, kabel tersebut tidak bisa dicabut keluar lagi. (Foto: Jurnal Medis Cureus)
Dari hasil CT scan, pemuda itu mendorong kabel USB melingkar begitu dalam di uretranya hingga masuk ke kandung kemih, dan akhirnya tersangkut. Ia harus dioperasi untuk mengeluarkan kabel USB tersebut, menjalani pengobatan hingga bisa pulih kembali. (Foto: Jurnal Medis Cureus)
Kejadian serupa juga dialami remaja laki-laki berusia 15 tahun di Inggris. Ia mencoba mengukur bagian dalam penisnya dengan kabel USB, hingga kabel terikat dan tidak bisa dikeluarkan. (Foto: Urology Case Reports)
Pria berusia 41 tahun di Indonesia memasukkan kabel ke penisnya untuk kenikmatan seksual. Ia mengaku menggunakan teknik masturbasi itu hingga lima kali seminggu. (Foto: Radiology Case Reports)
Ia pergi ke Rumah Sakit Umum Dr Soetmo Surabaya setelah mengeluh sakit perut saat buang air kecil. Diketahui bahwa ada kabel sepanjang 80 cm terdorong terlalu dalam hingga tersangkut. (Foto: Radiology Case Reports)