Penampakan Cacing Parasit di Tubuh Pasien Pasca Terima Donor Ginjal

New England Journal of Medicine mempublikasikan laporan dua orang pasien yang menerima donor ginjal pada 18 Juni 2025. Salah satu pasien berusia 61 tahun yang dirawat di MassGen mengalami ruam ungu seperti memar menyebar di kulit perutnya. (Foto: New England Journal of Medicine)

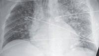
Pasien pertama mengeluhkan mual, muntah, rasa haus berlebihan, ketidaknyamanan perut, nyeri punggung, dan demam. Dokter menemukan cairan menumpuk di paru-parunya yang membuatnya bernapas dengan cepat dan kadar oksigen yang menurun. (Foto: New England Journal of Medicine)

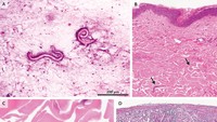
Setelah diperiksa pasien pertama terkontaminasi cacing gelang kecil yang disebut Strongyloides stercoralis pasca transplantasi ginjal. Ginjal tersebut berasal dari Karibia, sebelum pemilik organnya meninggal dunia. (Foto: New England Journal of Medicine)

Kondisi yang sama juga dialami pria 66 tahun yang dirawat di Albany Medical Center. Ia mengeluhkan kelelahan, sel darah putih rendah, dan fungsi ginjal yang memburuk pasca transplantasi. (Foto: New England Journal of Medicine)

Setelah pihak rumah sakit berbagai catatan dengan MassGen, dokter dapat berhasil merawat pasien yang menerima donor dari sumber yang sama. Mereka dapat menyelamatkan pasien dari cacing parasit yang muncul di tubuhnya. (Foto: New England Journal of Medicine)

New England Journal of Medicine mempublikasikan laporan dua orang pasien yang menerima donor ginjal pada 18 Juni 2025. Salah satu pasien berusia 61 tahun yang dirawat di MassGen mengalami ruam ungu seperti memar menyebar di kulit perutnya. (Foto: New England Journal of Medicine)
Pasien pertama mengeluhkan mual, muntah, rasa haus berlebihan, ketidaknyamanan perut, nyeri punggung, dan demam. Dokter menemukan cairan menumpuk di paru-parunya yang membuatnya bernapas dengan cepat dan kadar oksigen yang menurun. (Foto: New England Journal of Medicine)
Setelah diperiksa pasien pertama terkontaminasi cacing gelang kecil yang disebut Strongyloides stercoralis pasca transplantasi ginjal. Ginjal tersebut berasal dari Karibia, sebelum pemilik organnya meninggal dunia. (Foto: New England Journal of Medicine)
Kondisi yang sama juga dialami pria 66 tahun yang dirawat di Albany Medical Center. Ia mengeluhkan kelelahan, sel darah putih rendah, dan fungsi ginjal yang memburuk pasca transplantasi. (Foto: New England Journal of Medicine)
Setelah pihak rumah sakit berbagai catatan dengan MassGen, dokter dapat berhasil merawat pasien yang menerima donor dari sumber yang sama. Mereka dapat menyelamatkan pasien dari cacing parasit yang muncul di tubuhnya. (Foto: New England Journal of Medicine)