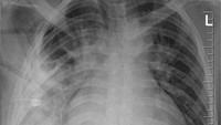
Seorang pria berusia 44 tahun di Tanzania pergi ke rumah sakit dengan keluhan nyeri dan keluarnya nanah di dekat area puting. Ketika dilakukan pemeriksaan rontgen, dokter menemukan pisau menancap di dadanya. (Foto: Journal of Surgical Case Reports)
Sebelumnya pria ini tidak mengalami gejala apapun, sampai 10 hari sebelumnya ia melaporkan keluhan keluarnya nanah. Ia tidak mengalami gejala infeksi lain seperti batuk, demam, sulit bernapas, dan bahkan tak mengalami nyeri. (Foto: Journal of Surgical Case Reports)
Setelah ditelusuri, pisau itu sudah menancap sejak 8 tahun lalu. Dalam sebuah perkelahian, ia mengalami luka parah di beberapa area tubuh tapi tidak sadar telah ditusuk pisau. (Foto: Journal of Surgical Case Reports)
"Rontgen dada lateral awal menunjukkan adanya benda logam tersangkut di bagian tengah dada, dengan bayangan samar di sekitarnya yang mengindikasikan hematoma terlokalisasi kronis yang mengeluarkan cairan, atau fibrosis pasca-trauma, kemungkinan besar akibat luka tusukan pisau pasien," tulis dokter dalam studi kasusnya. (Foto: Journal of Surgical Case Reports)
Tujuh hari pasca operasi, foto rontgen dada menunjukkan adanya chest tube atau selang dada yang masih terpasang dan opasifikasi paru. Selang dada dilepas pada hari kedelapan dan kondisi pasien berangsur-angsur membaik. (Foto: Journal of Surgical Case Reports)