Penampakan Jarum Jahit Nyangkut di Liver Nenek Umur 81, Masuk Lewat Mana?

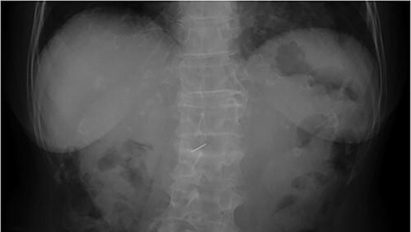
Hasil rontgen abdomen seorang nenek 81 tahun di Jepang memperlihatkan bayangan putih menyerupai jarum pada area dekat tulang belakang lumbal kedua. Temuan ini muncul saat pemeriksaan pencernaan rutin. (Foto: Journal of Surgical Case Reports)
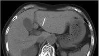
Pemeriksaan CT-scan menunjukkan benda asing mirip jarum menancap miring dari permukaan bawah liver menuju segmen lateral. Tidak tampak adanya nanah maupun tanda infeksi. (Foto: Journal of Surgical Case Reports)
"Dokter menyimpulkan bahwa pasien menelan jarum jahit tanpa sadar, yang kemudian menembus pilorus lambung atau bulbus duodenum dan berpindah masuk ke liver," tulis studi, mengingat pasien tidak memiliki riwayat operasi, trauma, bahkan akupuntur di area dekat liver. (Foto: Journal of Surgical Case Reports)
Jarum jahit sepanjang sekitar 3 cm berhasil diangkat melalui operasi laparoskopi. Pasien pulih dengan baik dan dipulangkan empat hari setelah operasi tanpa komplikasi. (Foto: Journal of Surgical Case Reports)
Hasil rontgen abdomen seorang nenek 81 tahun di Jepang memperlihatkan bayangan putih menyerupai jarum pada area dekat tulang belakang lumbal kedua. Temuan ini muncul saat pemeriksaan pencernaan rutin. (Foto: Journal of Surgical Case Reports)
Pemeriksaan CT-scan menunjukkan benda asing mirip jarum menancap miring dari permukaan bawah liver menuju segmen lateral. Tidak tampak adanya nanah maupun tanda infeksi. (Foto: Journal of Surgical Case Reports)
Dokter menyimpulkan bahwa pasien menelan jarum jahit tanpa sadar, yang kemudian menembus pilorus lambung atau bulbus duodenum dan berpindah masuk ke liver, tulis studi, mengingat pasien tidak memiliki riwayat operasi, trauma, bahkan akupuntur di area dekat liver. (Foto: Journal of Surgical Case Reports)
Jarum jahit sepanjang sekitar 3 cm berhasil diangkat melalui operasi laparoskopi. Pasien pulih dengan baik dan dipulangkan empat hari setelah operasi tanpa komplikasi. (Foto: Journal of Surgical Case Reports)