Merinding! Dokter Temukan Banyak Belatung Bersarang di Telinga Pria Ini

Seorang pasien berusia 65 tahun datang ke rumah sakit dengan keluhan keluarnya cairan bernanah yang sesekali berdarah, disertai gatal, nyeri, dan denging di telinga sejak beberapa hari. Pasien sadar penuh, tidak demam, dan tidak menunjukkan kelemahan otot wajah. Kebersihan diri pasien dilaporkan kurang terjaga. (Foto: Journal Cureus).

Pasien memiliki riwayat keganasan parotis ipsilateral atau tumor di kelenjar ludah parotis yang diobati dengan operasi, kemoterapi, dan radioterapi. Riwayat sosial menunjukkan ia dulunya seorang tukang kayu, tetapi pensiun tujuh tahun yang lalu. Ia tidak memiliki hewan peliharaan, juga tidak pernah bepergian ke tempat-tempat eksotis. (Foto: Journal Cureus).

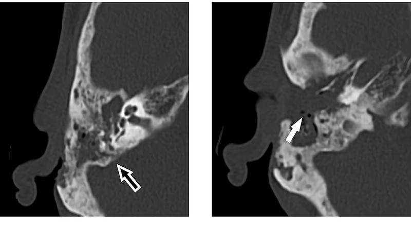
Pemeriksaan klinis menunjukkan lesi erosif atau kerusakan di belakang telinga kanan dengan bekas luka operasi sebelumnya. Setelah mengamati lebih dekat, dokter mengamati beberapa benda asing putih yang mudah bergerak di telinganya dan diambil untuk diperiksa lebih lanjut. Pemeriksaan otoskopi menunjukkan pembengkakan liang telinga luar dan keberadaan larva lalat (miasis) atau belatung. Kasus ini diterbitkan di jurnal Cureus dengan judul 'Aural Myiasis: A Case Report on a Rare Entity' pada 2020. (Foto: Journal Cureus)

Untuk mencegah komplikasi, pasien langsung menjalani operasi dengan pengangkatan (reseksi) larva, sekuester tulang nekrotik, dan mukosa yang terkena. Pascaoperasi, pasien mendapat amoksisilin–klavulanat untuk mencegah infeksi sekunder serta terapi lokal berupa suspensi oksitetrasiklin dan hidrokortison. Pada kontrol empat bulan pascaoperasi, tidak ditemukan kekambuhan. (Foto: Journal Cureus).

Seorang pasien berusia 65 tahun datang ke rumah sakit dengan keluhan keluarnya cairan bernanah yang sesekali berdarah, disertai gatal, nyeri, dan denging di telinga sejak beberapa hari. Pasien sadar penuh, tidak demam, dan tidak menunjukkan kelemahan otot wajah. Kebersihan diri pasien dilaporkan kurang terjaga. (Foto: Journal Cureus).
Pasien memiliki riwayat keganasan parotis ipsilateral atau tumor di kelenjar ludah parotis yang diobati dengan operasi, kemoterapi, dan radioterapi. Riwayat sosial menunjukkan ia dulunya seorang tukang kayu, tetapi pensiun tujuh tahun yang lalu. Ia tidak memiliki hewan peliharaan, juga tidak pernah bepergian ke tempat-tempat eksotis. (Foto: Journal Cureus).
Pemeriksaan klinis menunjukkan lesi erosif atau kerusakan di belakang telinga kanan dengan bekas luka operasi sebelumnya. Setelah mengamati lebih dekat, dokter mengamati beberapa benda asing putih yang mudah bergerak di telinganya dan diambil untuk diperiksa lebih lanjut. Pemeriksaan otoskopi menunjukkan pembengkakan liang telinga luar dan keberadaan larva lalat (miasis) atau belatung. Kasus ini diterbitkan di jurnal Cureus dengan judul Aural Myiasis: A Case Report on a Rare Entity pada 2020. (Foto: Journal Cureus)
Untuk mencegah komplikasi, pasien langsung menjalani operasi dengan pengangkatan (reseksi) larva, sekuester tulang nekrotik, dan mukosa yang terkena. Pascaoperasi, pasien mendapat amoksisilin–klavulanat untuk mencegah infeksi sekunder serta terapi lokal berupa suspensi oksitetrasiklin dan hidrokortison. Pada kontrol empat bulan pascaoperasi, tidak ditemukan kekambuhan. (Foto: Journal Cureus).