Foto: Dokter Angkat HP yang Nyangkut di Perut Pasien, Penampakannya Bikin Ngilu

Seorang narapidana 44 tahun dilarikan ke rumah sakit setelah mengaku menelan sebuah ponsel kecil. Ia sempat menahan nyeri perut ringan selama hampir dua minggu sebelum akhirnya mencari pertolongan. (Foto: Cureus Journal)

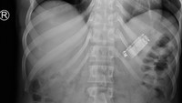
Tim dokter terkejut saat hasil CT-scan menunjukkan bentuk ponsel utuh di dalam lambung pasien. Kasus langka ini langsung menarik perhatian tim bedah dan radiologi. (Foto: Cureus Journal)

 Melalui prosedur endoskopi yang hati-hati, dokter berhasil mengeluarkan ponsel tanpa harus melakukan pembedahan besar. Pasien dilaporkan stabil dan tidak mengalami luka serius pada saluran pencernaannya. (Foto: Cureus Journal)

Pasien menolak mengungkapkan apa alasannya menelan ponsel tersebut, tapi menurut laporan petugas penjara, ia diduga berusaha menghilangkan barang bukti. Menelan baterai dapat menyebabkan cedera berat pada saluran pencernaan, karena baterai mengandung logam seperti litium, seng, merkuri, dan nikel. (Foto: Cureus Journal)

Seorang narapidana 44 tahun dilarikan ke rumah sakit setelah mengaku menelan sebuah ponsel kecil. Ia sempat menahan nyeri perut ringan selama hampir dua minggu sebelum akhirnya mencari pertolongan. (Foto: Cureus Journal)
Tim dokter terkejut saat hasil CT-scan menunjukkan bentuk ponsel utuh di dalam lambung pasien. Kasus langka ini langsung menarik perhatian tim bedah dan radiologi. (Foto: Cureus Journal)
 Melalui prosedur endoskopi yang hati-hati, dokter berhasil mengeluarkan ponsel tanpa harus melakukan pembedahan besar. Pasien dilaporkan stabil dan tidak mengalami luka serius pada saluran pencernaannya. (Foto: Cureus Journal)
Pasien menolak mengungkapkan apa alasannya menelan ponsel tersebut, tapi menurut laporan petugas penjara, ia diduga berusaha menghilangkan barang bukti. Menelan baterai dapat menyebabkan cedera berat pada saluran pencernaan, karena baterai mengandung logam seperti litium, seng, merkuri, dan nikel. (Foto: Cureus Journal)