Jakarta - Seorang wanita berusia 21 tahun datang ke UGD rumah sakit. Ia mengaku tidak sengaja menelan sendok kayu saat makan es krim, begini penampakannya.
Penampakan Isi Perut Wanita yang Tak Sengaja Telan Sendok Kayu Es Krim
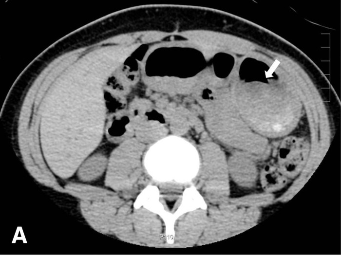
Seorang wanita 21 tahun datang ke UGD setelah menelan sendok kayu saat sedang makan es krim sambil berbicara di telepon. Ia menggambarkan sendok itu tipis, seukuran telapak tangan. (Foto: The Journal of Emergency Medicine.)
Ia menyangkal memiliki riwayat penyakit dan tidak menunjukkan gejala apapun di UGD. Dari pemeriksaan rontgen, termasuk leher, dada, dan abdomen, tidak menunjukkan adanya benda asing. (Foto: The Journal of Emergency Medicine.)
"Dalam kasus ini, kami tidak dapat mengidentifikasi benda asing kayu menggunakan pemeriksaan sinar-X polos, dan kami melewatkannya saat memeriksa tampilan aksial CT scan. Tetapi, kami dapat mengidentifikasi sendok kayu di lambung secara pasti saat kami menggunakan lebar jendela dan level jendela yang lebar untuk tampilan CT koronal," tulis para ahli yang dipublikasikan di The Journal of Emergency Medicine. (Foto: The Journal of Emergency Medicine.)
Benda asing kayu itu akhirnya dikeluarkan melalui endoskopi. Setelah prosedur tersebut, pasien dipulangkan tanpa adanya komplikasi kejadian ini. (Foto: The Journal of Emergency Medicine.)











































