Jakarta - Dokter di Portugal menemukan sebuah batang besi menancap di kaki seorang pasien. Besi yang ditemukan baru ketahuan setelah 40 tahun.
Foto Health
Penampakan Batang Besi Nancap di Kaki Pasien, Baru Ketahuan Setelah 40 Tahun
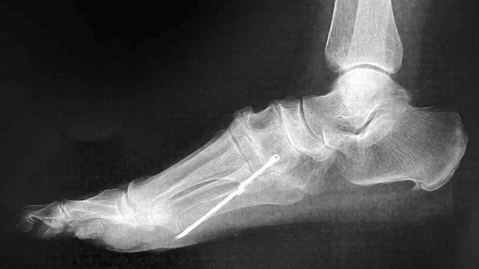
Perempuan berusia 71 tahun di Portugal mengeluhkan nyeri akut di bagian telapak kaki kanan. Nyeri tersebut muncul selama beberapa hari terakhir. (Foto: Cureus Journal)
Ketika ditanya dokter dari fasilitas kesehatan Local Health Unit of Alto Minho, kota Viana do Castelo, pasien yang tidak disebutkan namanya itu mengaku tidak mengalami riwayat cedera dalam beberapa waktu terakhir. (Foto: Cureus Journal)
Setelah dilakukan pemeriksaan USG, dokter menemukan batang besi sepanjang 6,5 cm di dalam kakinya. Setelah ditelusuri lebih lanjut, pasien rupanya memiliki riwayat mengalami luka tembus akibat besi batang payung sekitar 40 tahun sebelumnya. (Foto: Cureus Journal)
Pada saat itu, ia pergi ke pengobatan tradisional dan tidak menyadari ada besi sisa di dalam kakinya. Pasien pada saat itu tidak melakukan pemeriksaan medis lebih lanjut. (Foto: Cureus Journal)
Benda asing itu akhirnya dikeluarkan melalui prosedur sayatan kecil di telapak kaki. Benda asing tidak bisa dikeluarkan sepenuhnya, karena besi patah di dalam kaki pasien. Dokter menilai sisa besi yang tertinggal sangat berisiko jika dikeluarkan. (Foto: Cureus Journal)
Masa pemulihan operasi berjalan baik tanpa komplikasi. Pasien pulih sepenuhnya bahkan mampu jalan kaki 10 km tanpa masalah setelah 2 tahun tidak lanjut. (Foto: Cureus Journal)











































