Jakarta - Dokter di Rusia berhasil mengangkat batu ginjal raksasa seberat 402 gram. Penampakannya bikin merinding.
Foto Health
Momen Dokter Temukan Batu Ginjal Raksasa, Diangkat dari Perut Wanita Usia 55
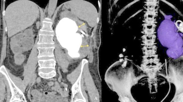
Dokter di Rusia berhasil mengangkat batu ginjal seberat 402 gram dari seorang pasien wanita berusia 55 tahun. (Foto: BMC Urology)
Pasien yang tidak disebutkan namanya itu awalnya datang ke rumah sakit dengan keluhan nyeri tumpul di daerah pinggang kiri. Sebenarnya pasien itu sudah didiagnosis batu ginjal sejak tahun 2004, tapi ia menolak menjalani intervensi bedah sampai gejalanya memburuk pada 2024. (Foto: BMC Urology)
Setelah dilakukan pemeriksaan, dokter menemukan batu ginjal kiri besar berukuran 13,6 cm x 8 cm x 6,8 cm. Dokter juga menemukan adanya beberapa batu kecil di ginjal kanan. (Foto: BMC Urology)
Dengan mempertimbangkan fungsi ginjal yang masih ada serta risiko gangguan aliran urin akibat ukuran batu yang besar, tindakan operasi dinilai rasional. Karena fungsi ginjal masih dapat diselamatkan, nefrektomi (pengangkatan ginjal) tidak dipertimbangkan. (Foto: BMC Urology)
Pemulihan pasca operasi berlangsung tanpa komplikasi. CT scan tindak lanjut yang dilakukan setelah 9 bulan menunjukkan keberhasilan tindakan. (Foto: BMC Urology)











































