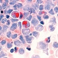
Dalam sebuah penelitian yang diterbitkan oleh Science Translational Medicine, para ilmuwan berhasil menemukan 25 peregangan DNA berbeda yang aktif dalam sel leukemia. Setiap perbedaan ini memiliki potensi untuk menjadi target obat baru.
"Jika kita mengembangkan obat untuk melawan molekul-molekul ini, maka kita memiliki kemungkinan yang cukup baik untuk menghilangkan sel-sel induk leukemia yang tidak dapat dibunuh oleh obat kanker konvensional," ujar Ishikawa Fumihiko dari pusat penelitian alergi dan imunologi RIKEN di Yokohama, Jepang, seperti dikutip dari Reuters, Jumat (5/2/2010).
ADVERTISEMENT
SCROLL TO CONTINUE WITH CONTENT
"Berbagai obat kanker yang ada saat ini dapat membantu pasien leukimia untuk sembuh. Tapi masalah yang paling serius adalah pada pasien AML (leukemia myeloid akut) yang banyak mengalami kekambuhan dan memiliki kemungkinan besar untuk meninggal," ujar Ishikawa.
Peneliti di Jepang telah berhasil mengidentifikasi sel induk yang bisa menyebabkan kekambuhan, hal ini sangat penting untuk pasien AML. Penyakit ini menyebabkan pertumbuhan sel darah putih yang abnormal dan cepat sehingga tidak bisa melawan infeksi. Selain itu pasien kehilangan sel darah merah yang berfungsi membawa oksigen, yang membuat pasien menjadi cepat lelah dan sesak napas.
Meskipun rata-rata pasien AML yang masih muda dan dideteksi lebih dini dapat disembuhkan, tapi kelangsungan hidupnya secara keseluruhan masih rendah karena ada kemungkinan untuk kambuh. Berdasarkan penelitian hanya sekitar 20 persen pasien AML yang dapat bertahan hidup hingga 5 tahun setelah didiagnosis pertama kali.
(ver/ir)











































