1. Gunting Masuk Kepala
|
|
Beruntung bola matanya tak terluka, walau gunting sudah masuk sejauh 15 cm ke dalam kepala. Dokter berhasil mengambil gunting tanpa meninggalkan kerusakan pada organ-organ vital.
2. Batang Logam Menembus Tengkorak
|
|
Ajaibnya, Leite masih sadar ketika mendatangi rumah sakit dengan kepala masih tertancap besi. Beruntung bagian vital di otak tak terkena dan dokter berhasil mengambil besi tanpa menimbulkan kerusakan yang berarti.
3. Paku Masuk ke Otak
|
|
Ketika merasa ada yang tidak beres, dia memeriksakan diri ke rumah sakit dan terkejut melihat hasil rontgen. Paku sepanjang 8,25 mili berdiam di dalam otaknya. Beruntung paku ini tidak menimbulkan kerusakan parah dan dapat diambil oleh dokter.
4. Kepala Tertusuk Ikan Marlin
|
Stephen Schultz (Foto: YouTube)
|
Ketika itu seekor ikan marlin seberat 272 kg melompat ke dalam perahu dan menusuk wajah Schultz. Kejadian ini sempat direkam di video dan diunggah ke youtube. Beruntung Schultz dapat pulih tanpa cedera permanen.
5. Kepala Tertusuk Tombak Pancing
|
|
Tombak menghujam tepat di atas mata kirinya dan mendesak otak. Beruntung tombak tidak mengenai titik vital dan dokter bedah dapat mengambil tombak tanpa merusak otak di kepalanya.
6. Jantung Tertusuk Paku
|
Abe Tullis (Foto: KSL.com)
|
Beruntung luka itu tidak sampai membuatnya mengalami perdarahan yang mematikan. Apabila lukanya lebih besar atau lebih kecil lagi, mungkin Abe tak akan selamat.
7. Dada Tertembus Besi Pagar Sekolah
|
|
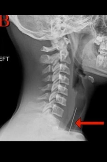
8.Jarum Masuk ke Tenggorokan
|
|
Kasus ini dilaporkan bulan Juli lalu dalam jurnal medis Pediatrics. Untunglah nyawanya bisa diselamatkan dan jarum tidak menimbulkan kerusakan fatal.
Halaman 2 dari 9











































