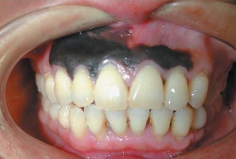
Kena Kanker Langka, Gusi Pria Ini Berubah Jadi Hitam - detikHealth Kamis, 10 Okt 2013 16:35 WIB (Foto: The New England Journal of Medicine) Jakarta - (vit/vit) Infografis Lainnya Infografis Feeding Difficulty Vs Picky Eating, Apa Beda & Dampaknya bagi BB Anak? Infografis Waspadai Dampak Picky Eating pada Anak, Berikut Cara Jitu Cegahnya Infografis Infografis: Strategi dan Formasi Ideal untuk Menang Lomba Balap Bakiak