Mr Ou (26) yang berasal dari Wuhan, provinsi Hubei, China, menggeliat dan menguap di pagi, seperti yang biasa dilakukannya. Tapi kali ini, ia tiba-tiba merasakan nyeri di dada, kemudian diikuti rasa sakit yang intens dan ia mulai kesulitan bernapas.
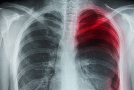
Ia langsung pergi ke Central Hospital of Wuhan dan dokter mendiagnosanya mengalami pneumotoraks spontan atau kolaps paru-paru, yang terjadi ketika udara menjadi terperangkap di samping paru-paru.
Dokter percaya, kondisi ini terjadi karena Mr Ou menguap begitu keras, seperti dilansir Rocketnews24, Rabu (19/2/2014). Terlebih lagi, kondisi fisiknya begitu kurus, dengan tinggi 175 cm berat badannya hanya 58 kg.
Sebagian besar kasus pneumotoraks terjadi secara spontan dan pada pria muda. Beberapa kasus berkembang karena cedera dada atau penyakit paru-paru, kadang juga karena adanya luka kecil di paru-paru.
Gejala pneumotoraks yang paling umum adalah rasa nyeri secara tiba-tiba, nyeri dada yang tajam, diikuti dengan nyeri selama inhalasi (menarik napas).
Dalam kebanyakan kasus, kolaps paru-paru bisa sembuh tanpa perlu pengobatan, tetapi kebutuhan udara yang terjebak perlu dibersihkan jika menyebabkan masalah dengan pernapasan. Kondisi tersebut terjadi pada sekitar 2 dari setiap 10.000 orang dewasa muda, tetapi pria empat kali lebih mungkin mengalaminya dibandingkan wanita.
(mer/vit)











































