Ameloblastoma merupakan tumor jinak rahang yang terbentuk dari sel pembentuk email gigi yang gagal berkembang. Ameloblastoma memiliki perangai klinis pertengahan antara jinak dan ganas sehingga menyebabkan ameloblastoma mempunyai angka kekambuhan yang tinggi pasca perawatan.
Karakteristik tumornya tumbuh secara lambat tetapi sel selnya menyusup pada jaringan sekitarnya. Setelah ameloblastoma mencapai ukuran besar maka gigi akan berubah letak lalu timbul kegoyangan pada gigi geligi disertai fenomena egg shell cracking (teraba seperti pecahan kulit telur ) atau Pingpong ball phenomena (benjolan bisa bergerak seperti bola ping pong)
ADVERTISEMENT
SCROLL TO CONTINUE WITH CONTENT
Tumor ini tumbuh lambat tanpa memberikan gejala nyeri bahkan seringkali terdiagnosis setelah 4-6 tahun. Ameloblastoma dapat timbul karena iritasi pada rongga mulut, infeksi, trauma fisik, kekurangan gizi dan infeksi virus polyoma.
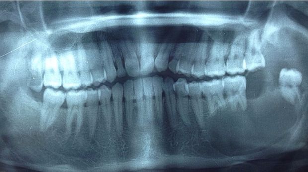
Ameloblastoma sangat merusak, struktur tulang rahang yang keras seperti 'dimakan' dan digantikan oleh tumor. Konsistensinya campuran keras dan kenyal seperti bakso atau bisa juga menggelembung karena terisi cairan kistik berwarna cokelat keruh, tergantung dari tipe ameloblastoma yang diderita.
Tulang rahang yang menggelembung dan berisi cairan kistik (Foto: drg Dhanni Gustiana SpBMM) |
Mengingat ameloblastoma mempunyai angka kekambuhan yang tinggi maka perawatan utama dilakukan secara radikal yaitu dengan cara memotong tulang rahang sampai batas bersih tumor. Teknis perawatan disesuaikan dengan tipe tumor, ukuran dan usia penderita.
Tulang rahang yang menggelembung dan berlubang karena terkena tekanan kistik (Foto: drg Dhanni Gustiana SpBMM) |
Angka kejadian ameloblastoma di Indonesia diperkirakan sama dengan angka kejadian ameloblastoma di negara lain yaitu dalam kisaran 1,5 – 3 kejadian dalam 1 juta penduduk. Angka yang tidak kecil mengingat dampak kerusakan yang ditimbulkan akan memberikan dampak kecacatan permanen.
Tulang rahang yang membesar dan berubah konsistensinya menjadi kenyal dan keras (Foto: drg Dhanni Gustiana SpBMM) |
Sampai saat ini belum ditemukan metoda pencegahan tumor ini, hal yang dapat dilakukan adalah dengan memeriksakan diri secara rutin ke dokter gigi terutama bila ditemukan benjolan di sekitar rahang dan mulut. Semakin dini perawatan ameloblastoma maka semakin baik juga hasilnya.
Rahang pasca rekonstruksi (Foto: drg Dhanni Gustiana SpBMM) |
*) drg Dhanni Gustiana SpBMM, spesialis bedah mulut dan maksilofasial. (vit/vit)












































Tulang rahang yang menggelembung dan berisi cairan kistik (Foto: drg Dhanni Gustiana SpBMM)
Tulang rahang yang menggelembung dan berlubang karena terkena tekanan kistik (Foto: drg Dhanni Gustiana SpBMM)
Tulang rahang yang membesar dan berubah konsistensinya menjadi kenyal dan keras (Foto: drg Dhanni Gustiana SpBMM)
Rahang pasca rekonstruksi (Foto: drg Dhanni Gustiana SpBMM)