Pria yang tidak disebutkan namanya ini dibawa ke Ram Manohar Lohia Hospital di New Delhi. Menurut laporan yang dipublikasikan di BMJ Case Reports, tanda-tanda vitalnya stabil dan tidak ada perdarahan di dalam rektum.
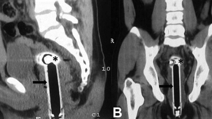
Hasil pemindaian menunjukkan ada kepala shower terjebak di anusnya, namun tidak memicu kerusakan organ. Dokter memberikan anestesi atau bius umum untuk bisa mengeluarkan benda itu dari anus si pria.
ADVERTISEMENT
SCROLL TO CONTINUE WITH CONTENT
"Meski pasien melaporkan shower tersebut masuk tidak sengaja dan membantah memasukkannya dengan segaja, ada kecurigaan tinggi benda itu dimasukkan dengan sengaja untuk tujuan auto-erotis," tulis Dr Peeyush Kumar dalam laporan tersebut.
Kasus serupa sering dilaporkan dalam jurnal medis, melibatkan benda-benda yang tidak lazim seperti bola lampu hingga botol. Dua pertiga di antaranya ditemukan para pria berusia 30-40an tahun yang memang menggunakannya untuk tujuan auto-erotik.
Tonton juga: Fobia air selama 30 tahun, wanita ini akhirnya mandi lagi
(up/up)











































