- Cara Menghilangkan Karang Gigi Secara Alami 1. Menyikat Gigi dengan Bubuk Soda Kue 2. Berkumur Cuka Putih dan Air 3. Mengoleskan Kulit Jeruk 4. Menggunakan Lidah Buaya 5. Mengoleskan Gliserin 6. Menggunakan Flosser Air Secara Teratur 7. Berkumur Minyak Kelapa 8. Mengunyah Biji Wijen 9. Membersihkan Gigi Secara Menyeluruh 10. Mempertahankan Pola Makan Sehat
- Kapan Perlu ke Dokter?
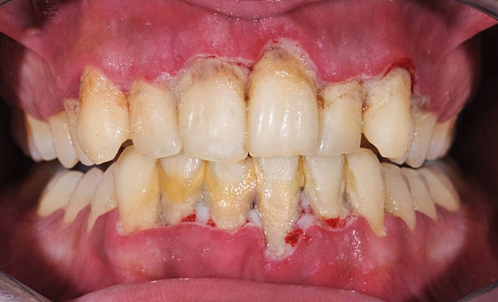
Jangan dianggap sepele, karang gigi tidak hanya terlihat mengganggu, tetapi juga bisa menyebabkan kerusakan jangka panjang yang serius pada gigi dan gusi. Oleh sebab itu, karang gigi harus dibersihkan atau dihilangkan.
Meskipun disarankan agar pergi ke dokter gigi menghilangkan karang gigi. Namun, hal ini juga juga bisa dilakukan di rumah secara alami
Jadi, jika detikers ingin menghilangkan karang gigi dan plak gigi tanpa harus ke dokter gigi, simak beberapa cara menghilangkan karang gigi secara alami di bawah ini ya.
ADVERTISEMENT
SCROLL TO CONTINUE WITH CONTENT
Cara Menghilangkan Karang Gigi Secara Alami
Berikut ini beberapa cara menghilangkan karang gigi secara alami yang bisa dicoba sendiri di rumah.
1. Menyikat Gigi dengan Bubuk Soda Kue
Dilansir Menton Family Dental, beberapa pasta gigi mengandung baking soda yang bekerja sebagai bahan abrasif yang lembut untuk menghilangkan karang gigi.
Berikut merupakan cara menghilangkan karang gigi dengan baking soda:
- Buat pasta dengan mengaduk beberapa tetes air dengan setengah sendok teh baking soda
- Oleskan campuran tadi menggunakan sikat gigi
- Sikat gigi dengan lembut selama satu menit
- Lalu bilas dengan air
2. Berkumur Cuka Putih dan Air
Cuka putih mempunyai rasa yang sangat kuat dan bersifat anti-bakteri. Dengan demikian, cuka putih dapat membantu mencegah plak dan karang gigi.
Berikut caranya:
- Tambahkan dua sendok teh cuka putih dan setengah sendok teh garam ke dalam segelas kecil air
- Aduk campuran tadi
- Berkumur menggunakan campuran itu dengan air
- Lalu bilas hingga dua kali sehari.
3. Mengoleskan Kulit Jeruk
Kulit jeruk termasuk cara lain yang efektif untuk menghilangkan karang gigi secara alami. Pasalnya, vitamin C dalam kulit jeruk memiliki sifat anti-mikro bakteri yang efektif dan mampu memotong karang gigi, lapisan plak dan membunuh pertumbuhan mikroba pada gigi.
Berikut adalah caranya:
- Hancurkan kulit jeruk yang kemudian dibuat pasta dengan mencampurkannya dengan air
- Oleskan campuran tersebut langsung ke gigi dan gusi dengan menyikat gigi
- Bilas dengan air
4. Menggunakan Lidah Buaya
Dalam penelitian yang diterbitkan di General Dentistry, mengungkapkan bahwa gel lidah buaya sama efektifnya, dengan suatu pasta gigi dalam memerangi gigi berlubang dan masalah lainnya.
Langkah menghilangkan karang gigi menggunakan lidah buaya adalah sebagai berikut.
- Campurkan satu sendok teh gel lidah buaya, dengan empat sendok teh gliserin
- Tambahkan lima sendok makan soda kue dan setetes minyak esensial lemon
- Tambahkan secangkir air (bisa disesuaikan dengan kebutuhan)
- Gunakan campuran tersebut untuk membersihkan gigi kamu secara bertahap untuk menghilangkan karang gigi dan plak
5. Mengoleskan Gliserin
Disebutkan dalam Dr Michael's Dental Clinic, selain membantu mencerahkan gigi, glycerin atau gliserin merupakan salah satu pengobatan rumah dan cara menghilangkan karang gigi secara alami yang paling umum untuk melawan lapisan tebal plak dan penumpukan karang gigi di mulut.
Gliserin termasuk bahan yang ditemukan di banyak pasta gigi. Kamu hanya perlu mencampurkan satu sendok makan gliserin dengan secangkir air yang sudah dicampur baking soda. Setelah campuran ini disiapkan, kamu bisa mengoleskannya ke sikat gigi, yang dilanjutkan dengan menyikat gigi.
6. Menggunakan Flosser Air Secara Teratur
Menggunakan flosser air lebih efektif daripada menggunakan benang. Tekanan air yang dihasilkan alat flosser akan membantu mengeluarkan sisa makanan, atau kotoran plak yang mungkin tidak terjangkau oleh benang dalam membantu menghilangkan kotoran di gigi yang sulit dijangkau.
7. Berkumur Minyak Kelapa
Menghilangkan karang gigi secara alami bisa dengan minyak kelapa, karena minyak ini memiliki sifat anti-inflamasi dan antioksidan.
Dalam studi 2015 oleh Faizal C. Peedikayil, dkk, dari Kannur Dental College India, yang melibatkan penelitian dengan 60 remaja dengan gingivitis, menemukan bahwa minyak kelapa menghasilkan 50% penurunan plak gigi dan penurunan gejala gingivitis yang signifikan.
Berdasarkan temuan tersebut, para peneliti percaya jika minyak kelapa ini juga dikaitkan dengan pengurangan plak gigi.
Cara menghilangkan karang gigi secara alami dengan minyak kelapa:
- Masukkan sekitar 1 sendok makan minyak kelapa ke dalam mulut
- Kumur minyak kelapa di sekitar mulut sekitar 5-10 menit
- Keluarkan minyak kelapa
- Bilas dengan air
8. Mengunyah Biji Wijen
Dikutip dari laman Green Square Dental, konon biji wijen bisa membantu menghilangkan karang gigi yang membandel. Berikut merupakan langkah-langkah yang bisa dilakukan:
- Masukkan segenggam biji wijen ke mulut
- Lalu, kunyah sampai menjadi halus (tanpa ditelan)
- Ambil sikat gigi, lalu sikatlah di sekitar karang gigi dan gusi
- Bilas mulut dengan air
9. Membersihkan Gigi Secara Menyeluruh
Membersihkan gigi secara menyeluruh termasuk cara menghilangkan karang gigi secara alami. Pilih sikat gigi elektrik dengan sikat bundar kecil sehingga kamu bisa dengan mudah membersihkan setiap gigi satu per satu dan menjangkau celah di antaranya.
10. Mempertahankan Pola Makan Sehat
Mempertahankan pola makan sehat yang menggabungkan konsumsi buah dan sayuran, termasuk cara menghilangkan karang gigi secara alami. Hal ini juga penting untuk kesehatan mulut, karena karang gigi terjadi saat kita mengkonsumsi terlalu banyak gula yang juga bisa menyebabkan gigi berlubang.
Kapan Perlu ke Dokter?
Apabila lapisan plak dan karang gigi berkembang seiring waktu, tentu akan menjadi sulit dan tidak mungkin untuk menghilangkannya dengan secara alami. Saat itulah kamu perlu pergi mengunjungi dokter gigi atau ahli kesehatan gigi.
Dokter akan merekomendasikan bantuan profesional untuk menangani masalah gigi. Salah satu perawatan gigi yang paling populer digunakan untuk membersihkan karang gigi namanya adalah scaling dan root planing (pembersihan gigi profesional).
Itu tadi penjelasan seputar karang gigi beserta cara menghilangkan karang gigi secara alami yang bisa dilakukan di rumah. Semoga bermanfaat!
(khq/inf)











































