Seorang pria berusia 63 tahun harus menjalani amputasi penis gegara terkena karsinoma tingkat tinggi, sejenis karsinoma sel ginjal (RCC) polimorfik di ginjal kiri.
Awalnya, pria yang tidak disebutkan namanya itu datang ke unit gawat darurat (UGD) di Rumah Sakit Umum Prof.Dr.I.G.N.G Ngoerah, Bali, Indonesia, setelah mengalami nyeri panggul dan penurunan berat badan sekitar 8 kg dalam dua bulan. Mengacu pada pemeriksaan fisik dan laboratorium, dokter menemukan massa pada panggul pria tersebut.
Selain itu, pemeriksaan laboratorium tersebut juga menemukan anemia, leukositosis, dan penurunan fungsi ginjal. Pasien kemudian menjalani nefrektomi radikal dan pemeriksaan anatomi patologis.
ADVERTISEMENT
SCROLL TO CONTINUE WITH CONTENT
Hasilnya, pria itu ternyata mengidap karsinoma tingkat tinggi, sejenis karsinoma sel ginjal (RCC) polimorfik di ginjal kiri. Kondisi ini terjadi ketika sel-sel abnormal mulai membelah dan tumbuh tidak terkendali.
Dua minggu setelahnya, pasien mengalami nyeri dan ereksi berkepanjangan selama satu minggu. Pasien mengatakan kepada dokter bahwa ereksi yang dialaminya itu terjadi secara random dan bukan karena rangsangan seksual apapun.
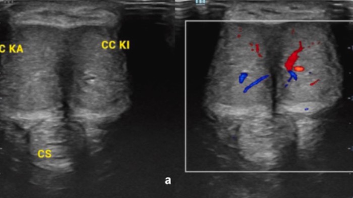
Kemudian mengacu pada pemeriksaan fisik, dokter menemukan ereksi pada batang penis disertai kelemahan pada kelenjar penis. Diagnosis klinis pasien adalah priapisme non-iskemik. Dokter bedah awal mencoba mengalirkan darah dari penisnya sebagai upaya meringankan ereksi. Akan tetapi usaha percobaan tersebut tak membuahkan hasil.
Dokter kemudian memasang pintasan untuk membantu aliran darah di penis. Setelah beberapa pemeriksaan lebih lanjut, dokter menemukan kanker telah menyebar ke penisnya. Dokter pun memutuskan untuk mengamputasi penis pria tersebut untuk menghentikan penyebaran penyakit.
Setelah operasi, pasien kemudian dirawat dengan radioterapi dan kemoterapi. Tiga bulan kemudian dokter menyebut pria tersebut tidak memiliki kelainan pada saluran kemih dan tidak ada keluhan yang berarti.
(suc/vyp)











































