Seorang pria berusia 56 tahun di Taiwan harus menjalani operasi untuk mengambil kelapa yang 'nyangkut' di rektumnya. Buah tropis yang berukuran 7,5 cm x 5,7cm itu diambil melalui tindakan laparotomi atau operasi pembukaan perut. Kasus ini dipublikasikan di British Journal of Surgery pada tahun 2023 dengan judul "Case of Coconutention".
Pria tersebut datang ke RS dengan keluhan sakit perut parah, anuria atau tak bisa buang air kecil, dan mengalami konstipasi atau sembelit selama dua hari.
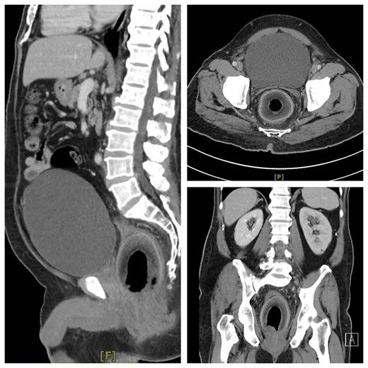
Dokter kemudian melakukan CT Scan dan terlihat buah kelapa tersangkut di rektumnya, yang menekan uretra dan membuatnya sulit buang air kecil. Dalam laporannya, petugas medis tidak mengungkap tanggal kejadian dan identitas pasien, selain data usia.
ADVERTISEMENT
SCROLL TO CONTINUE WITH CONTENT
Pasien juga tidak mengaku alasan memasukkan buah tersebut ke bokongnya. Namun dokter menduga buah kelapa tersebut dimasukkan untuk rangsangan saat melakukan masturbasi.
"Ini adalah kasus yang sangat jarang terjadi. Pasien beruntung masih hidup. Untungnya, dia tidak mengalami kerusakan internal yang serius. Dia diberitahu untuk tidak melakukannya lagi. Pasien mengaku memasukkan kelapa ke dalam rektumnya. mencari rangsangan," imbuh Direktur Bedah Medis Umum di Rumah Sakit E-Da, Dr Chen Zhiyi dikutip Daily Star.
Dokter kemudian melakukan tindakan operasi setelah upaya secara manual pasien untuk mengeluarkannya secara alami tidak membuahkan hasil. Tindakan operasi pun berlangsung di Rumah Sakit E-Da, Kota Kaohsiung, Taiwan.
Kelapa di rektum Foto: British Journal of Surgery |
Upaya dokter berhasil dengan aman mengeluarkan kelapa berukuran 7,5cm x 5,7cm dari rongga perutnya dan mengeluarkan 2.000ml urine yang menumpuk selama dua hari.
Dr Chen memperingatkan bahaya 'coconutention', dan mendesak orang untuk 'berhati-hati saat mencari rangsangan'.
Di sisi lain, sebenarnya tak jarang kasus benda asing ditemukan di dalam tubuh seseorang yang dimasukkan melalui anus. Adanya benda yang tersangkut di rektum pertama kali dicatat dalam literatur medis pada abad ke-16. Pada kebanyakan kasus, orang memasukkan benda ke dalam dubur mereka untuk kesenangan seksual. Hal ini sebagian berkaitan dengan jumlah saraf di anus yang membuatnya sangat sensitif.
Namun, memasukkan benda ke dalam rektum bisa memicu sejumlah risiko. Selain benda yang tersangkut, ada risiko usus akan berlubang dan pasien meninggal dunia. Pasalnya, bahan dari saluran pencernaan bisa tumpah ke bagian tubuh yang lain yang menyebabkan infeksi
(suc/kna)












































