Dalam kasus yang sangat jarang terjadi, dokter menemukan alat KB implan wanita bermigrasi dari lengan atas ke paru-paru kirinya.
Dikutip dari Live Science, kejadian yang dilaporkan di BMJ Journal itu, menuliskan seorang wanita berusia 30 tahun di Inggris berkonsultasi dengan dokter setelah menyadari bahwa dia tidak dapat merasakan implan di bawah kulit lengan kirinya. Lokasi implan itu dimasukkan enam tahun sebelumnya. Implan ini biasanya berfungsi selama tiga tahun sebelum perlu diganti.
Setelah mendiskusikan riwayat medis pasien dengannya dan melakukan serangkaian tes pencitraan, dokter menyadari bahwa wanita itu tidak dapat merasakan KB implannya karena prosesur sebelumnya kurang tepat. Implannya diduga terlepas sekitar seminggu setelah dimasukkan dan kemudian berpindah dari jaringan di bawah kulit ke pembuluh darah di lengan atas wanita.
ADVERTISEMENT
SCROLL TO CONTINUE WITH CONTENT
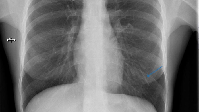
Dari sana, implan itu berjalan ke jantungnya, sebelum dibawa melalui arteri ke paru-paru kiri bawahnya.
KB implan disebut lebih mungkin untuk bermigrasi karena beberapa alasan, seperti tidak dimasukkan di tempat yang benar. Inilah yang terjadi pada wanita di Inggris.
Faktor risiko lain untuk migrasi implan termasuk memasukkan implan terlalu dalam ke dalam jaringan di lengan pasien yang sangat tipis. Jika implan berhasil sampai ke paru-paru, kejadian itu dapat menyebabkan berbagai gejala, seperti batuk yang bisa berdarah, sesak napas atau nyeri dada. Jika implan yang berkeliaran masih aktif, maka pasien mungkin memerlukan operasi untuk menghindari potensi efek samping seperti infertilitas dan masalah menstruasi.
"Dalam kasus ini, wanita tersebut tidak mengalami gejala-gejala tersebut," tulis laporan itu.
Dokter juga mencatat bahwa implan tidak bergerak setelah konsultasi lanjutan enam bulan kemudian. Karena implan tidak lagi melepaskan progestin, wanita itu memilih untuk tidak menjalani operasi untuk mengeluarkannya.
(kna/kna)











































