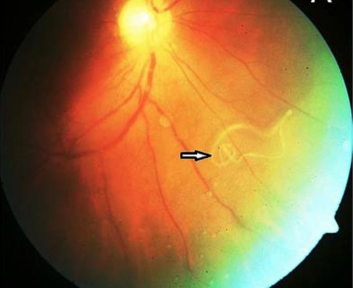
Jakarta - Mata adalah organ indra penglihatan sensitif oleh karena itu perlu dijaga dengan baik. Namun karena berbagai hal kadang kejadian aneh bisa saja menimpa mata.
Cedera Mata Unik: Dari Kornea yang Meleleh Hingga Ada Cacingnya
Rabu, 25 Okt 2017 12:05 WIB











































