Jakarta - Sebelum pasang veneer gigi pastikan kalau yang melakukannya dokter gigi profesional. Pengalaman orang-orang ini menceritakan bahaya veneer gigi yang gagal.
Foto Health
Potret Mereka yang Jadi Korban Veneer Gigi Abal-abal
Akun Instagram @korbantukanggigi mengumpulkan pengalaman cerita dari berbagai pasien yang pernah datang ke dokter gigi karena pemasangan veneer gagal. (Foto: Instagram/aprekadrgsport/korbantukanggigi)
Karena dilakukan sembarangan veneer jadi malah mengganggu fungsi gigi. (Foto: Instagram/slvnd.drg/korbantukanggigi)
Celah yang terbentuk karena ukuran lapisan veneer yang tidak sesuai jadi tempat sisa makanan menumpuk di gusi. (Foto: Instagram/drgastridk/korbantukanggigi)
Veneer sendiri adalah prosedur medis yang berarti harus dilakukan hati-hati. Foto veneer ini misalnya berpotensi memengaruhi kemampuan gigitan pasien karena terlalu tebal. (Foto: Instagram/korbantukanggigi)
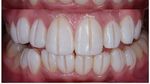
Foto atas adalah contoh veneer yang dilakukan sembarangan vs dilakukan oleh dokter gigi. (Foto: Instagram/korbantukanggigi)
Kalau sembarangan ditempel veneer juga bisa menimbulkan masalah kesehatan lebih serius. (Foto: Instagram/_widyapsari/korbantukanggigi)
Ini yang harus dilalui gigi kamu ketika dokter berusaha melepas veneer yang gagal. Ada risiko terjadi pengikisan gigi. (Foto: Instagram/@drgsteven/korbantukanggigi)











































