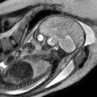
Untuk pertama kalinya di dunia, baru-baru ini seorang ibu melahirkan bayi mungil di dalam sebuah mesin MRI. Sebuah media lokal Jerman, The Local melaporkan proses kelahiran yang berlangsung lancar ini terjadi di Berlin's Charite Hospital, salah satu rumah sakit kenamaan di negara tersebut.
Namun bukan sembarang mesin MRI yang digunakan, melainkan mesin khusus yang memang didesain untuk persalinan sehingga lebih terjamin keamanannya. Selain itu ada juga tim ahli yang mendampingi, terdiri dari dokter kandungan, radiologis dan teknisi.
ADVERTISEMENT
SCROLL TO CONTINUE WITH CONTENT
Selama ini, proses pergerakan bayi saat lahir masih menjadi misteri yang terus diperdebatkan. Pergerakan itu seringkali tidak lancar, sehingga bayi gagal mencapai jalan lahir dan terpaksa harus dikeluarkan melalui operasi caesar.
"Belum pernah ada penjelasan yang benar-benar memuaskan mengapa sebagian perempuan mudah saja melahirkan bayi 4,5 kg, sementara sebagian lagi kesulitan melahirkan bayi yang lebih kecil," ungkap Dr Manny Alvarez, dokter kandungan dari Hackensack University seperti dikutip dari Foxnews, Rabu (8/12/2010).
Manfaat yang diharapkan dari pengamatan tersebut antara lain untuk memahami berbagai gangguan saat melahirkan, misalnya bahu bayi yang tersangkut tulang panggul (shoulder dystocia). Menurut catatan IROC, 15 persen perempuan masa kini lebih memilih caesar untuk menghindari kemungkinan tersebut. (up/ir)











































