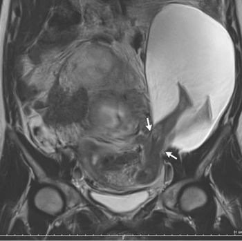
Kasus langka ini dipublikasikan dalam sebuah laporan di The New England Journal of Medicine. Seorang perempuan 33 tahun hamil dan memiliki robekan 2,5 cm di dinding rahim, hingga sebagian dari ketuban dan bahkan kaki janin keluar dari tempatnya.
Sang ibu tidak mengalami gejala apapun sebelumnya. Kondisi yang mengejutkan para dokter ini baru terungkap saat dilakukan pemeriksaan ulrasonografi pada pekan ke-22 kehamilan.
ADVERTISEMENT
SCROLL TO CONTINUE WITH CONTENT
Dipastikan, robekan di rahim pasien bukan terjadi akibat tendangan sang bayi. Menurut hasil penelusuran, pemicunya adalah riwayat pasien yang pernah melahirkan sesar sebanyak 5 kali sebelumnya. Dinding rahimnya melemah dan robekan terjadi di dekat lokasi sayatan pada operasi sesar yang terakhir.
Baca juga: Bayi Ini Lahir dengan 'Ditempeli' Kembar Parasitnya
Foto: The New England Journal of Medicine |
Meski berisiko, sang ibu dan pasangannya memutuskan untuk tetap melanjutkan kehamilannya. Dikutip dari Livescience, Jumat (23/12/2016), robekan membesar hingga 5 cm pada pekan ke-30, dan bukan lagi hanya kaki si bayi yang keluar bersama ketuban melainkan juga perutnya.
Bayi berjenis kelamin laki-laki tersebut akhirnya dilahirkan lewat operasi sesar, dalam kondisi sehat. Usai persalinan, dokter memperbaiki rahim sang ibu. Pemeriksaan terakhir yang dilakukan 6 bulan setelah persalinan menunjukkan si ibu dan bayinya dalam kondisi sehat.
Baca juga: Peneliti Sebut Prosedur Caesar Pengaruhi Evolusi Perempuan (up/up)












































Foto: The New England Journal of Medicine