Deskripsi
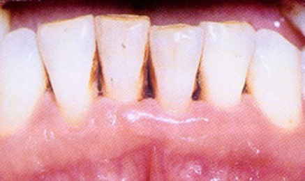
Abses periodontal disebabkan infeksi pada jaringan periodontal. Abses merupakan suatu nanah yang terjadi pada gusi (gingiva). Terjadi karena faktor iritasi, seperti plak, kalkulus, invasi bakteri, impaksi makanan atau trauma jaringan. Terkadang pula akibat gigi yang akan tumbuh.
Gejala
Terjadi pembengkakan pada gusi penderita yang disertai nanah, sakit ketika membuka mulut, dan susah mengunyah.
Pengobatan
Gejala akan hilang sendiri dalam beberapa hari. Namun bila sakit berlanjut sebaiknya periksa ke dokter gigi.
(tbs/tbs)











































