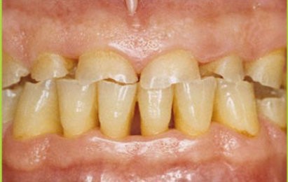
Bruxism atau gigi gemeretuk terjadi ketika antara satu gigi dan gigi lain bergesekan. Gigi gemerutuk terjadi ketika seseorang tidur dan tindakan itu tanpa kendali.
Penyebab pasti penyakit ini belum diketahui secara pasti. Namun diduga berkaitan dengan stres. Faktor lain yang dapat memicu antara lain, posisi tidur, kemampuan merilekskan diri, dan kebiasaan tidur.
ADVERTISEMENT
SCROLL TO CONTINUE WITH CONTENT
- depresi
- gangguan makan
- sakit telinga (karena sendi rahang berdekatan dengan saluran telinga)
- insomnia
- panas dingin
- sensitif pada rasa manis
Perawatan:
Tujuan pengobatan adalah mengurangi rasa sakit, mencegah kerusakan permanen pada gigi, dan mengurangi menggerutukan gigi.
Untuk membantu meringankan nyeri, ada langkah-langkah perawatan yang dapat dilakukan di rumah. Sebagai contoh:
- kompres pada rahang yang sakit
- menghindari makan kacang, permen atau steak
- minum air putih sebanyak mungkin
- mengurangi stres
- memijat otot-otot leher, bahu dan wajah.
Sumber: dari berbagai sumber.
(adh/adh)











































