Kasus aneh ini ditemukan tim dokter dari Prancis pada tahun 2007. Si pasien berjenis kelamin laki-laki, berusia 44 tahun, berstatus menikah dengan dua anak, serta memiliki pekerjaan tetap.
Suatu hari, pria ini mendatangi sebuah rumah sakit karena kakinya terasa layu. Tak disangka saat berupaya mencari tahu penyebab kaki pria ini lemas, dokter yang menanganinya justru menemukan bahwa sebagian besar bagian otak pria ini tidak berada pada tempatnya alias hilang.
ADVERTISEMENT
SCROLL TO CONTINUE WITH CONTENT
Baca juga: Bertahun-tahun Sulit Belajar, Otak Wanita Ini Ternyata Bolong
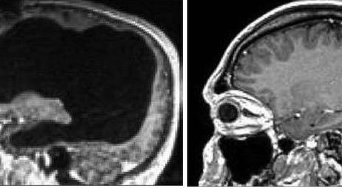
Salah seorang ahli saraf yang ambil bagian dalam mengamati pasien ini memperkirakan pasien kehilangan lebih dari 50 persen atau bahkan 75 persen otaknya. Namun ia sama sekali tidak memperlihatkan 'efek samping' dari kondisi demikian.
Usut punya usut, saat masih berumur 6 bulan, pasien mengalami 'postnatal hydrocephalus', atau penumpukan cairan otak yang berlebihan dalam otak. Pada saat ia dilahirkan, dokter sempat memasukkan alat untuk mengeluarkan cairan dalam otaknya.
Tapi ketika alat itu diambil saat usia pasien menginjak 14 tahun, cairannya menumpuk lagi dan menekan otaknya. Setelah 30 tahun, cairan otak yang menekan tadi akhirnya menyisakan sebagian kecil otak saja, kira-kira seukuran kerang.
Dokter lantas memasukkan alat untuk mengeluarkan cairan dari otak pasien, dan dari situ kaki lemas pasien perlahan menghilang. Terlepas dari itu, pria ini dalam keadaan sehat, dan memiliki pekerjaan mapan sebagai pegawai negeri sipil, meskipun IQ-nya berada di bawah rata-rata.
Baca juga: Jalani Operasi Tumor Otak, Pria Ini Tetap Sadar dan Bicara dengan Dokter
Namun hingga akhirnya kasus ini dipublikasikan dalam jurnal The Lancet beberapa waktu lalu, para ahli saraf tak dapat menjelaskan bagaimana otak pria ini dapat berfungsi sebagaimana mestinya, padahal bagian otak vital mengalami tekanan selama bertahun-tahun.
Lewat sebuah penelitian terbaru yang dilakukan oleh Dr Donald Forsdyke dan Lionel Feuillet, peneliti akhirnya mencoba mencari kesimpulan. Menurutnya, kasus ini merupakan contoh ekstrem dari kemampuan adaptabilitas otak.
"Kemungkinan kalau hal ini terjadi sangat lambat dalam waktu yang cukup lama, mungkin tahunan, bagian otak yang tersisa akan mengambil alih fungsi yang normalnya dilakukan oleh bagian otak yang tertekan," jelas peneliti Dr Donald seperti dipaparkan dalam laporannya di jurnal Biological Theory.
(lll/vit)











































