Nasib malang menimpa seorang bocah laki-laki di Ohio, Amerika Serikat. Anak tersebut harus menjalani prosedur operasi untuk mengeluarkan gumpalan permen karet yang tersangkut di perutnya.
Kasus yang tercatat dalam jurnal JEM Reports, melaporkan anak tersebut menelan sekitar 40 buah permen karet bebas gula. Keesokan harinya, anak yang tidak diketahui identitasnya itu dilarikan ke rumah sakit dengan kram dan diare akibat saluran pencernaannya yang tersumbat.
Dokter memeriksa 'bezoar' atau dikenal sebagai benda asing yang tidak dapat dicerna yang cenderung ditelan oleh anak-anak. Tim medis yang dipimpin oleh Dr. Chizite Iheonunekwu dari Cleveland Clinic, menemukan perutnya yang bergetah dengan hasil scan yang memperlihatkan benda yang besar.
ADVERTISEMENT
SCROLL TO CONTINUE WITH CONTENT
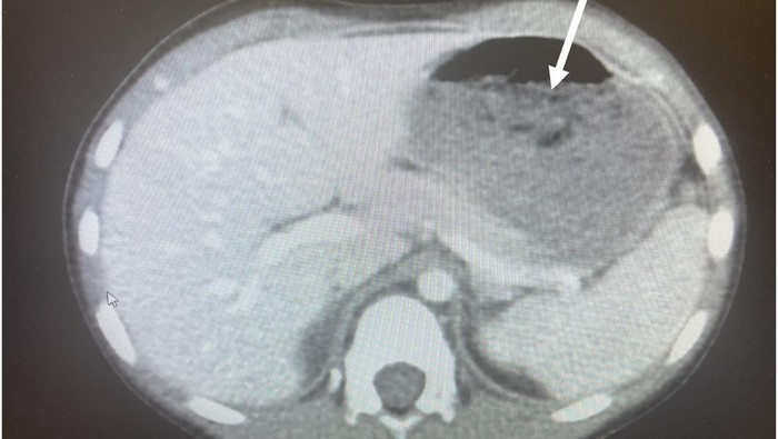
Penampakan x-ray dalam tubuh bocah 5 tahun yang menelan 40 buah permen karet. Foto: JEM Reports |
Tim medis mengeluarkan permen karet dengan memasukkan esofagoskop (tabung logam) ke tenggorokannya dan menggunakan forsep untuk mengambil gumpalan permen karet tersebut.
Pasien muda itu mengalami sakit tenggorokan karena prosedur tersebut. Namun, menurut laporan ia akhirnya akhirnya dipulangkan tanpa konsekuensi kesehatan jangka panjang.
Di samping itu, para ahli telah menyangkal mitos bahwa permen karet tetap berada di dalam tubuh selama tujuh tahun.
"Jika Anda menelan sepotong permen karet, itu akan keluar sekitar 40 jam kemudian di tinja Anda," kata ahli gizi Beth Czerwony, dikutip dari NY Post, Senin (29/5/2023).
"Karena tidak bisa dicerna, ia langsung keluar utuh," lanjutnya.
Namun, Czerwony mengingatkan bahaya akibat terlalu sering menelan permen karet. Hal ini dikarenakan kebiasaan tersebut dapat memicu penyumbatan usus.
"Apa pun yang Anda makan setelah itu tidak akan bisa melewatinya, yang menyebabkan rasa sakit dan tekanan," pungkasnya.
(hnu/kna)












































