Seorang pria di Inggris harus dilarikan ke rumah sakit gegara menahan bersin. Hal itu membuat tenggorokannya rusak dan pecah.
Kasus ini dipublikasikan dalam BMJ Case Reports pada tahun 2018. Pria 34 tahun awalnya berusaha menahan bersin dengan menutup mulut dan kedua lubang hidungnya.
Naasnya, akibat menahan bersin itu membuat tenggorokannya pecah. Dia mulai mengalami gejala-gejala aneh dan memutuskan untuk mencari pertolongan medis.
ADVERTISEMENT
SCROLL TO CONTINUE WITH CONTENT
Gejala yang dialami seperti:
- Sakit saat menelan
- Perubahan suara
- Adanya sensasi meletup di tenggorokan
- Pembengkakan pada lehernya
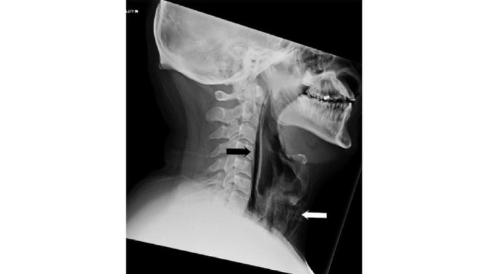
Dikutip dari NDTV, para dokter mengatakan bahwa ada aliran udara yang terperangkap di beberapa jaringan tenggorokan dan merusaknya. Kasus pecahnya faring secara spontan seperti ini sangat jarang terjadi. Biasanya disebabkan oleh muntah, retching atau kontraksi otot respirasi, batuk berat, hingga trauma.
Pria itu langsung mendapat perawatan untuk menghindari risiko atau perkembangan infeksi leher dalam. Dia dipasangkan selang makanan dan antibiotik.
Setelah dua minggu dirawat, kondisinya mulai pulih dan makanan yang lunak.
"Menghentikan bersin dengan menutup lubang hidung dan mulut adalah manuver berbahaya dan harus dihindari," tulis para penulis.
"Ini dapat menyebabkan banyak komplikasi, seperti pseudo mediastinum (udara yang terperangkap di dada antara kedua paru-paru), perforasi membran timpani (gendang telinga berlubang), dan bahkan pecahnya aneurisma serebral (pembuluh darah yang membengkak di otak)," pungkasnya.
(sao/naf)











































