Seorang remaja di Sri Lanka harus menjalani operasi akibat kabel sepanjang 8 inci atau sekitar 20 cm tersangkut di penisnya. Diketahui, kabel tersebut sudah terjebak selama berhari-hari.
Kasus ini bermula saat remaja 17 tahun yang tak disebutkan namanya itu memiliki fetish yang cukup ekstrem. Ia memasukkan kabel listrik ke dalam uretranya untuk meningkatkan orgasme.
Namun, di satu kesempatan dia tidak sengaja mendorong kabel itu terlalu dalam saat masturbasi. Akibatnya, kabel sepanjang 20 cm itu tersangkut di dalam penisnya dan membuatnya kesakitan saat buang air kecil.
ADVERTISEMENT
SCROLL TO CONTINUE WITH CONTENT
Sekitar sembilan hari setelahnya, dia pergi ke rumah sakit karena rasa sakit yang hebat di perutnya. Setelah diperiksa, dokter menyarankan untuk dilakukan operasi.
Adapun kasus tersebut diungkap dalam laporan kasus medis dan dipublikasikan di jurnal Psychiatry Research Case Reports. Remaja itu disebut mengalami poliembolokoilomania.
Poliembolokoilomania adalah suatu kondisi seseorang yang berulang kali memasukkan benda asing, seperti kabel, sikat gigi, hingga benda lainnya ke lubang tubuh. Lubang tubuh yang dimaksud seperti uretra, rektum, dan vagina saat melakukan masturbasi hingga mencapai orgasme.
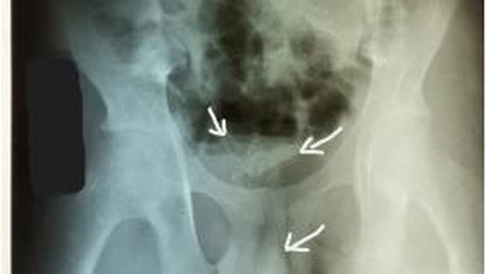
Para dokter di rumah sakit di Kolombo, Sri Lanka, menemukan massa melingkar yang tidak diketahui di perut pasien melalui pemindaian ultrasonografi.
Mereka melakukan prosedur cepat yang disebut sistoskopi, dengan memasukkan tabung berlampu dan kamera di ujungnya ke dalam uretra. Ini berfungsi untuk melihat ke dalam kandung kemih.
Setelah mereka mendapat gambaran yang lebih komprehensif tentang kabel di kandung kemih remaja itu, dokter baru bisa mengangkatnya melalui pembedahan.
Beberapa hari dirawat, remaja itu baru mengakui bahwa dia melakukan kebiasaan berisiko dengan memasukkan benda asing ke tubuhnya saat masturbasi. Itu dilakukannya selama dua tahun terakhir, dan biasanya bisa mengeluarkan benda itu dengan mudah.
Dia mengaku kecanduan masturbasi, karena bisa melakukannya 3 kali sehari. Ia juga merasa tidak bisa mengendalikan keinginannya untuk masturbasi.
"Komplikasi memasukkan benda asing ke dalam uretra pria sangat banyak. Komplikasi serius termasuk nekrosis jaringan kandung kemih telah dilaporkan setelah dimasukkannya zat korosif seperti baterai," kata dokter.
NEXT: Dikirim ke Psikolog dan Diberi Obat
Setelah kawat dilepas, dokter mengirim remaja itu untuk mendapatkan konseling psikologis yang mencakup upaya membantunya mengurangi keinginannya untuk melakukan masturbasi. Dia ditemukan memiliki beberapa kecemasan dalam membentuk hubungan sosial dan percintaan, tetapi secara keseluruhan kesehatan mentalnya baik.
Pasien juga diberikan resep Prozac antidepresan versi generik untuk mengobati parafilia yang dideritanya, yaitu kelainan psikologis yang ditandai dengan hasrat seksual abnormal yang seringkali berbahaya.
Namun, pasien tersebut mangkir dari pemeriksaan setelah keluar dari rumah sakit, yang berarti dokter kehilangan jejaknya dan dia tidak pernah melanjutkan bantuan psikologis. Meski tidak didiagnosis mengidap gangguan mental tertentu, dokter mengatakan ada banyak kondisi kejiwaan yang bisa memicunya melakukannya lagi.
"Beberapa penyebab psikologis dan psikiatris utama adalah kepuasan seksual, gangguan paraphilic, preferensi seksual non-patologis, upaya menyakiti diri sendiri dan gangguan kepribadian ambang," jelas dokter.
Pasien juga diketahui memiliki IQ yang cukup rendah yaitu 78. Para dokter menunjukkan bahwa individu dengan IQ rendah lebih cenderung terlibat dalam perilaku seksual berisiko.
"Diperkirakan risikonya untuk kembali melakukan perilaku seperti itu yang terkait dengan komplikasi bedah adalah tinggi," pungkasnya.
Simak Video "Kenali Risiko Kanker Penis pada Pria Dewasa"
[Gambas:Video 20detik]
(sao/suc)











































