Seorang pria 52 tahun di Amerika Serikat mengeluhkan migrain yang tidak kunjung sembuh. Kondisi ini dialaminya selama empat bulan terakhir.
Selama itu, ia mengonsumsi berbagai obat-obatan tetapi tidak lagi efektif mengobati migrainnya. Keluhan yang dirasakannya itu muncul lebih sering dari biasanya, sekitar seminggu sekali, dan menjadi semakin parah.
Ia pun segera memeriksakan diri ke rumah sakit. Di sana, pasien juga mengeluhkan nyeri yang semakin parah di bagian belakang tengkoraknya.
ADVERTISEMENT
SCROLL TO CONTINUE WITH CONTENT
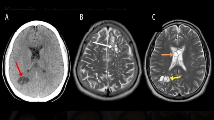
Dalam jurnal yang dikutip dari Live Science, dokter langsung memeriksa tanda-tanda vital pada pasien, tetapi tidak menunjukkan adanya kelainan. Setelah melakukan CT scan pada otaknya, dokter melihat adanya banyak lesi mirip kista yang tersebar di kedua hemisfer atau kedua bagian besar otak.
Secara spesifik, pertumbuhan ini muncul di substansia alba organ tersebut, yakni jaringan terisolasi yang memanjang dari sel-sel otak.
Pasien segera dirawat di rumah sakit untuk melakukan konsultasi bedah saraf. Hasil MRI pun mendukung apa yang terlihat di CT scan.
Bahkan, dokter melihat adanya penumpukan cairan di sekitar kista di otak pria tersebut. Karena menduga adanya parasit, departemen bedah saraf merujuk pasien ke spesialis penyakit menular dan melakukan sejumlah tes.
Salah satu tes menunjukkan bahwa darah pasien mengandung antibodi terhadap Taenia solium, cacing pita yang biasanya ditemukan pada babi yang bersarang di usus dan otot babi, lalu keluar melalui fesesnya.
Dalam kasus ini, larva cacing tersebut telah menguasai otaknya dan tertanam di dalam kista pada jaringan otaknya. Saat T. solium menginfeksi sistem saraf dengan cara ini, kondisi tersebut dikenal sebagai neurosistiserkosis.
Penanganan yang Dilakukan
Sebagai penanganannya, pasien diberikan obat antiparasit dan antiinflamasi sambil dipantau di unit perawatan intensif selama beberapa minggu. Setelah itu, pasien dirawat di klinik rawat jalan penyakit menular.
"Pasien berhasil diobati, dengan regresi lesi dan perbaikan sakit kepala," tulis dokter dalam laporan kasus medis tersebut.
Manusia dapat terinfeksi T. solium saat tidak sengaja mengonsumsi larva atau telur cacing tersebut. Orang dapat terpapar jika mereka mengonsumsi daging babi yang kurang matang, atau minum air yang telah terkontaminasi.
Mengonsumsi daging babi kurang matang yang mengandung larva dapat menyebabkan infeksi usus yang disebut taeniasis. Sementara mengonsumsi feses yang mengandung telur memicu infeksi pada jaringan lain, termasuk otak.
"Telur-telur tersebut awalnya masuk ke pembuluh darah otak dan kompartemen untuk cairan serebrospinal, cairan bening yang membasahi otak, dan kemudian memicu respons imun inflamasi yang merusak lapisan pelindung otak," demikian pernyataan dari laporan yang dipublikasikan dalam American Journal of Case Reports.
Namun, dalam kasus ini pasien tidak melakukan perjalanan ke daerah yang berisiko tinggi terhadap infeksi cacing tersebut.
"Setelah diinterogasi, pasien mengaku terbiasa makan bacon atau daging babi yang dimasak sebentar dan tidak kering hampir di sepanjang hidupnya," kata laporan itu, dikutip dari Live Science.
Bahaya Makan Daging Tak Matang
Berdasarkan kebiasaan makan pria tersebut, dokternya menyimpulkan bahwa 'kecenderungan seumur hidupnya untuk mengonsumsi daging babi asap yang masih lunak' mungkin telah membuatnya sesekali mengonsumsi daging babi asap setengah matang. Kondisi itu yang menyebabkan taeniasis, bentuk infeksi cacing pita di usus.
Dari situ, para dokter berspekulasi bahwa pasien mungkin secara tidak sengaja tertular sistiserkosis melalui kebiasaan mencuci tangan yang tidak benar. Dengan kata lain, ia mungkin secara tidak sengaja terpapar telur cacing tersebut dalam fesesnya sendiri.
"Konsumsi daging babi setengah matang merupakan faktor risiko teoretis untuk neurosistiserkosis melalui autoinokulasi, seperti yang kami duga dalam kasus ini," tim medis menyimpulkan.
"Secara historis, sangat jarang menemukan daging babi yang terinfeksi di Amerika Serikat, dan kasus kami mungkin memiliki implikasi kesehatan masyarakat."











































