Untuk mencetuskan timbulnya tumor itu dibutuhkan adanya faktor-faktor lain seperti gaya hidup, kondisi lingkungan dan lain-lain.
Namun ternyata, ada satu jenis penyakit tumor yang murni disebabkan oleh faktor genetik yang tanpa perlu keterlibatan faktor-faktor lain. Penyakit ini disebut dengan Tuberous Sclerosis Complex (TSC).
ADVERTISEMENT
SCROLL TO CONTINUE WITH CONTENT
Sekitar 85 persen pasien yang secara klinis menunjukkan tanda-tanda TSC memiliki mutasi pada salah satu diantara kedua gen ini. Dalam hal ini TSC digolongkan dalam single-gene disorder (lihat 'Bisakah Penyakit Genetik Disembuhkan?').
Penyakit ini terjadi dan diturunkan (jika merupakan kasus familial) secara autosomal dominan. Artinya, hanya dibutuhkan mutasi pada salah satu (dari dua) kopi gen bersangkutan untuk mencetuskan timbulnya penyakit.
Dalam hal ini mutasi pada salah satu orangtua saja sudah cukup untuk membawa kemungkinan 50 persen diturunkannya penyakit ini pada anak.
Sebagian besar (67%) kasus TSC merupakan kasus sporadik, dimana mutasi tidak diturunkan dari orangtua namun terjadi secara spontan selama proses pembelahan sel-sel nutfah (sperma/ovum) atau selama proses perkembangan embrio.
Hanya 33 persen yang merupakan kasus familial, dimana salah satu orang tua membawa mutasi. Pada kasus familial, uniknya banyak keluarga dengan TSC menunjukkan adanya variabilitas tingkat keparahan gejala dalam satu keluarga dengan mutasi yang sama.
Biasanya sang anak menunjukkan gejala yang sangat parah, sementara salah satu orangtuanya hampir-hampir tidak menunjukkan gejala, sementara mutasi yang terjadi sama saja. Penyebab terjadinya fenomena ini masih merupakan misteri.
Semua pasien TSC menunjukkan gejala dan tanda yang diakibatkan oleh pertumbuhan tumor jinak yang disebut hamartoma. Walaupun disebut 'jinak', akibat yang ditimbulkannya dapat mematikan, bergantung lokasi pertumbuhannya.
Istilah 'jinak' digunakan sebab ia tidak menunjukkan tanda-tanda penyebaran ke bagian tubuh lain, walaupun secara lokal ukurannya dapat membesar. Demikian pula, gejala dan tanda yang terjadi bergantung pada lokasi organ atau jaringan dimana tumor tersebut tumbuh.
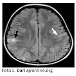
Pasien dengan tumor di otak (Foto 1) biasanya menunjukkan tanda-tanda epilepsi dan atau retardasi mental.
Pasien dengan tumor di kulit wajah (Foto 2 - disebut dengan facial angiofibroma) menunjukkan tanda-tanda seperti jerawat yang parah.

Sementara banyak pasien dengan hanya tumor jaringan ikat pada lipatan kuku tidak menunjukkan gejala apapun selain hanya lesi kecil pada salah satu sisi kuku (Foto 3 - disebut periungual fibroma).

Banyak pula dari pasien yang hanya menunjukkan tanda putih seperti panu dengan ukuran besar di beberapa bagian tubuhnya (Foto 4 - disebut hypomelanotic macules).

Dari penjelasan ini nampak bahwa gejala yang ditunjukkan sangat bervariasi dalam jenis dan tingkat keparahannya. Dalam pengalaman memeriksa mutasi gen pada pasien-pasien TSC, saya menjumpai kasus dimana sang ayah hanya menunjukkan gejala seperti jerawat sementara sang anak menunjukkan gejala yang sangat parah berupa epilepsi, mental retardasi dan tumor di jantung. Setelah diperiksa, keduanya ternyata membawa mutasi yang sama persis.
Kebanyakan penyakit genetik single-gene disorder memiliki insidensi yang sangat jarang, satu diantara puluhan ribu hingga jutaan kelahiran hidup.
Hal ini sangat berbeda dengan TSC. Sebagai penyakit genetik dengan kategori single-gene disorder, insidensinya tergolong relatif tinggi dengan satu diantara 6.000 kelahiran hidup. Relatif tidak ditemukan variasi insidensi yang mencolok diantara berbagai etnisitas manusia.
Jika sekarang tidak nampak begitu banyak pasien TSC, hal ini disebabkan gejala dan tanda yang tidak spesifik dan seringkali tidak nampak secara nyata yang membuatnya sering sulit didiagnosis.
Pada kebanyakan kasus pula, pasien tidak merasa memiliki keluhan sama sekali hingga tiba saatnya memiliki keturunan yang menderita TSC dengan gejala dan tanda yang parah.
Sebenarnya tidak rumit untuk menegakkan diagnosis klinis TSC asalkan dokter memahami kriteria diagnosisnya. Pada dokter yang banyak berkecimpung dalam menangani pasien-pasien TSC memiliki kriteria diagnosis tertentu untuk menentukan apakah seseorang secara klinis menunjukkan gejala dan tanda TSC.
Kriteria diagnosis ini sangat bermanfaat untuk secara meyakinkan memisahkan pasien TSC dan bukan TSC bagi keperluan pemeriksaan lanjutan berupa diagnosis molekuler. Dalam proses penegakan diagnosis ini seringkali dibutuhkan pemeriksaan mendalam menggunakan USG dan MRI untuk mendeteksi adanya tumor pada organ-organ di dalam tubuh.
Setelah pasien didiagnosis secara klinis, sangat penting untuk kemudian melakukan konfirmasi mutasi gen TSC1/TSC2 dengan pemeriksaan genetika molekuler. Konfirmasi ini penting dilakukan pada anak dan orang tuanya untuk memastikan potensi kejadian berulang pada anak-anak berikutnya.
Jika orang tua terdiagnosis memiliki mutasi yang sama dengan anak penderita TSC, maka terdapat 50 persen kemungkinan anak berikutnya juga akan menderita TSC. Jika tidak, maka peluangnya memiliki anak berikutnya dengan TSC sama dengan peluang pasangan-pasangan lain yang tidak pernah memiliki anak dengan TSC, yaitu sangat kecil.
Bagaimana nasib pasien penderita TSC? Bagaimana pengobatan dan perawatannya?
Tingkat keparahan TSC dan masa depan pasien TSC sangat bergantung pada lokasi organ dimana tumornya tumbuh dan fasilitas kesehatan yang tersedia serta aksesibilitasnya terhadap pasien TSC.
Tumor yang berlokasi pada organ-organ vital seperti jantung, paru-paru, ginjal dan otak berpotensi memperburuk kualitas hidup dan mengancam kehidupan. Namun pasien dengan gejala yang ringan dapat memiliki kualitas hidup yang hampir sama dengan orang normal.
Perawatan TSC sangat bergantung pada manifestasi klinis yang terjadi, bergantung pada organ dimana tumor tumbuh dan idealnya membutuhkan kerjasama lintas spesialisasi. Perawatan ini membutuhkan waktu sepanjang hayat dan difokuskan pada usaha memperpanjang usia serta memperbaiki kualitas hidup.
Disamping itu juga dibutuhkan kerjasama diantara sesama orangtua atau keluarga yang memiliki anak penderita TSC untuk membentuk kelompok dukungan sosial (social support group). Kelompok dukungan sosial ini sangat bermanfaat untuk tempat berbagi pengalaman dan informasi diantara penderita TSC dan tempat konsultasi dokter ahli yang berpengalaman menangani pasien-pasien TSC.
Belum ada pengobatan yang terbukti secara efektif menghentikan pertumbuhan tumor yang terjadi. Namun demikian sampai saat ini di berbagai negara di Eropa dan Amerika sedang dilakukan uji klinis untuk mengetahui kemanjuran dan keamanan sebuah obat yang bernama 'serolimus'. Obat ini memiliki efek menghambat pertumbuhan tumor dan mengecilkannya. Masih dibutuhkan waktu beberapa tahun kedepan untuk membuatnya siap digunakan.
Saat ini di Human Genome Center, School of Medical Sciences, Universiti Sains Malaysia sudah dimulai riset untuk meneliti mutasi-mutasi yang terjadi pada pasien TSC. Penelitian awal untuk mendeteksi mutasi-mutasi yang terjadi ini sangat penting untuk memahami terjadinya TSC di kawasan Asia Tenggara, sebelum penelitian yang lebih bersifat terapetik dimulai. Tidak menutup kemungkinan dalam waktu yang tidak lama juga terdapat kesempatan untuk melakukan uji klinis serupa dengan yang dilakukan di negara-negara Eropa dan Amerika.
Penulis
Dr. Teguh Haryo Sasongko (MD, PhD)
Principal Investigator: Tuberous Sclerosis Research
Human Genome Center, School of Medical Sciences, Universiti Sains Malaysia.
(ir/ir)











































