Berikut beberapa kasus cacing di tubuh manusia yang bisa bikin bulu kuduk merinding, seperti dirangkum detikHealth, Rabu (25/9/2013):
1. Cacing Pita Sepanjang 8 Meter
|
Ilustrasi (Foto: livestrong)
|
Menurut Prof Supargiyono, kebetulan pasien tersebut adalah orang Bali, sehingga terkena larva cacing larva sangat memungkinkan karena di sana terkadang suka makan daging mentah.
"Cara mengatasinya ya dikasih obat cacing, satu kali, terus seminggu kemudian dikasih satu lagi, sudah bisa sembuh itu dengan dosis dua kali," tuturnya.
2. Otak Dipenuhi Larva Cacing Pita
|
(Foto: Corbis)
|
Telur cacing tersebut menyebar melalui makanan, air dan permukaan benda yang telah terkontaminasi dengan kotoran. Larva cacing pita tersebut kemudian melakukan perjalanan ke otak dan membentuk kista. Ketika mulai mati, larva menyebabkan aneurisma (kelainan pembuluh darah) sebesar ukuran jeruk tangerine di dalam otak Taylor.
Ibu empat anak ini harus dilarikan ke St George's Hospital, London, dan pemeriksaan MRI menunjukkan bahwa pembuluh darah di otaknya telah membengkak. Untuk menyelamatkan nyawanya, dokter bedah langsung melakukan operasi darurat dengan memasukkan shunt ke tengkoraknya untuk mengeringkan cairan di otaknya.
Taylor harus kehilangan kemampuan indera perasa dan penciuman karena kondisi tersebut. Pasca operasi, kini ia pun menderita epilepsi dan depresi.
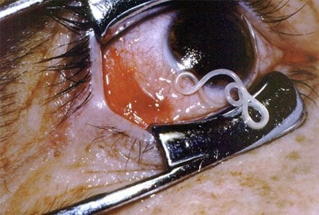
3. Loa Loa, Cacing Mata Afrika
|
(Foto: oddee)
|
Cacing ini akan muncul di permukaan bawah bola mata. Kebanyakan cacing ini dapat ditemui di daerah Afrika dan India. Gejalanya sendiri dapat berupa gatal-gatal, nyeri sendi, bahkan kematian.
4. Cacing Guinea, Bikin Kaki Melepuh
|
(Foto: oddee)
|
Cacing ini masuk ke dalam tubuh melalui air yang diminum yang terkontaminasi dengan copepoda (kutu air) penuh dengan larva cacing guinea. Sekitar setahun kemudian, cacing ini menciptakan efek melepuh di kulit biasanya di kaki. Luka melepuh ini menyebabkan sensasi terbakar yang sangat menyakitkan.
5. Filarial Worms, Penyebab Kaki Gajah dan Kebutaan
|
(Foto: oddee)
|
Cacing ini banyak berdampak pada manusia, sapi, domba, anjing. Sebuah kampanye untuk menghilangkannya tahun 2020 telah mencegah lebih dari 6,6 juta kasus filariasis baru dan menghentikan perkembangan penyakit di lain 9,5 juta orang.
Halaman 2 dari 6











































