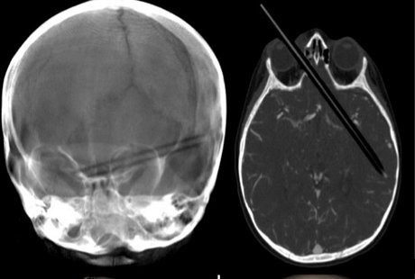
Bruk! Jatuh dari Kursi, Bocah Ini Tertusuk Pensil di Matanya - detikHealth Selasa, 29 Jan 2013 14:11 WIB Foto: Fox News Jakarta - (vit/vit) Infografis Lainnya Infografis Feeding Difficulty Vs Picky Eating, Apa Beda & Dampaknya bagi BB Anak? Infografis Waspadai Dampak Picky Eating pada Anak, Berikut Cara Jitu Cegahnya Infografis Infografis: Strategi dan Formasi Ideal untuk Menang Lomba Balap Bakiak