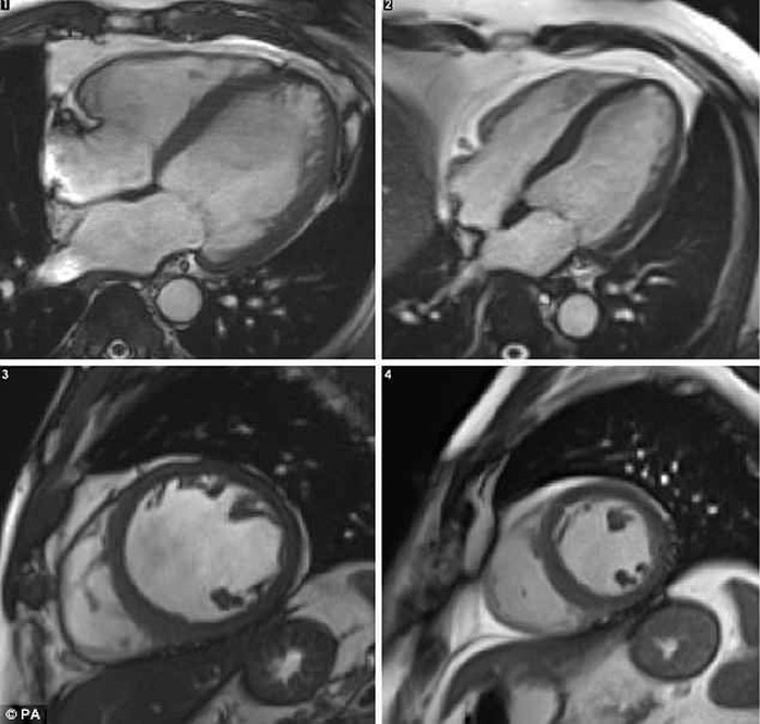
Gambar ini merupakan hasil penelitian kepada 141 pasien alcoholic cardiomyopathy (ACM) di Inggris. Ditemukan bahwa berdasarkan pemindaian, jantung orang yang doyan mengonsumsi alkohol terlihat lebih besar karena mengalami pembengkakan.
ADVERTISEMENT
SCROLL TO CONTINUE WITH CONTENT
dr Ware mengatakan alkohol mempercepat perubahan bentuk jantung. Konsumsi alkohol membuat otot jantung menebal dan jaringannya menjadi tipis dan melar.
Akibatnya, kemampuan jantung untuk memompa darah ke seluruh tubuh berkurang. Hal inilah yang membuat peminum alkohol memiliki risiko tinggi mengalami gagal jantung.
"Kami menemukan bahwa pemeriksaan genetik bagi peminum alkohol sangat penting. Karena risiko gagal jantung bisa berkali-kali lipat menjadi lebih besar jika peminum alkohol memiliki gen titin yang berpengaruh terhadap fleksibilitas otot jantung," tutupnya.











































