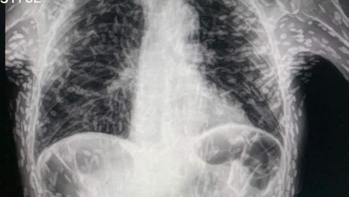
Dr Vitor Borin de Souza, seorang petugas medis di Rumah Sakit das Clínicas, Brasil, membagikan gambar hasil x-ray pasiennya di Twitter. Dalam gambar tersebut, terlihat ratusan titik terang yang merupakan kalsifikasi dari sisa-sisa parasit cacing pita.
"Sistiserkosis diperoleh dari konsumsi telur cacing pita.Tidak ingin mengalami itu? Cuci makanan Anda dengan baik sebelum dikonsumsi," tulis Dr Souza, dikutip dari Daily Mail.
Ia menambahkan dalam kebanyakan kasus seperti ini, pasien tidak memerlukan pengobatan apapun.
ADVERTISEMENT
SCROLL TO CONTINUE WITH CONTENT
"Jika tidak memiliki cedera di dalam kepala, sumsum tulang belakang atau mata, Anda bahkan tidak perlu dirawat," tulisnya lagi.
"Lesi ini mengalami kalsifikasi sehingga tidak dapat hidup sebagai sistiserkus (larva cacing pita). Jika tidak menyebabkan ketidaknyamanan, hidup terus berjalan," lanjutnya.
Ini disebut sistiserkosis, yaitu ketika larva dari spesies cacing pita yang biasanya hidup di usus, memasuki jaringan seperti otot atau otak. Larva tersebut membentuk bintil keras seperti kista yang terasa seperti benjolan di bawah kulit.
Kondisi ini umumnya tidak berbahaya karena larva tidak bertahan hidup. Namun, kista yang tersisa dapat menyebabkan masalah jika berkembang di otak atau mata.
Meskipun sakit kepala bahkan kejang sering terjadi, sistiserkosis dapat menyebabkan kebingungan, pusing, dan kondisi yang disebut hidrosefalus. Hidrosefalus adalah kelebihan cairan di otak yang jika tidak ditangani dapat berakibat fatal. Pembedahan biasanya diperlukan untuk mengangkat kista dalam kasus ini.
Kista juga dapat mencapai mata yang menyebabkan penglihatan kabur, terganggu, dan berpotensi menyebabkan infeksi. Kista mungkin baru berkembang beberapa bulan atau tahun setelah infeksi awal dengan telur cacing pita.
Cacing pita yang dapat menyebabkan sistiserkosis adalah spesies yang disebut Taenia solium yang juga dikenal sebagai cacing pita babi.
Telur dari spesies ini ditularkan antara manusia melalui kotoran yang terkontaminasi. Penularan paling sering melalui persediaan air yang tercemar atau tangan yang kotor selama persiapan makanan.
Orang juga bisa tertular cacing pita melalui produk daging babi yang terkontaminasi. Dalam kasus ini, telur yang menetas di usus tidak menyebar ke bagian tubuh lain yang menyebabkan sistiserkosis.
Organisasi Kesehatan Dunia (WHO) memperkirakan kista larva Taenia solium yang berkembang di otak bertanggung jawab atas 70 persen kasus epilepsi di beberapa bagian dunia.
Sekitar 2,5 juta orang diperkirakan terinfeksi Taenia solium per tahun. Kasus paling sering terdeteksi berada di daerah miskin di Asia, Amerika Selatan, dan Eropa Timur.
Gejala Sistiserkosis
Dikutip dari Cleveland Clinic, gejala sistiserkosis tergantung di mana kista terbentuk. Pasien dapat memiliki kista di mana saja, termasuk otak, mata, jantung, jaringan otot, atau hati.
Gejala yang paling umum adalah dari kista di sistem saraf yang disebut neurocysticercosis. Gejala neurocysticercosis meliputi:
- Kejang
- Sakit kepala
- Mual, muntah dan kebingungan
- Leher kaku.
Setiap kista di luar otak dan sumsum tulang belakang biasanya tidak menimbulkan gejala kecuali di lokasi tertentu. Sementara itu, kista di bawah kulit atau mata terkadang menimbulkan gejala, termasuk:
- Benjolan di bawah kulit
- Sakit mata
- Penglihatan ganda (diplopia)
- Radang mata (uveitis atau retinitis)
- Gerakan mata terbatas
- Mata melotot (proptosis)
- Kehilangan penglihatan
(naf/naf)











































