Seorang pria testisnya 'pindah' ke perut setelah mengalami kecelakaan motor tragis di Italia. Berdasarkan laporan yang dipublikasikan di MJ Case Reports, kecelakaan tersebut membuat pria itu mengalami cedera langka pada bagian testisnya.
Testisnya terkilir hingga masuk ke perut. Tim dokter yang menanganinya menyebut pria berusia 20-an itu mengalami dislokasi traumatis.
"Kami menjelaskan kasus seorang pria yang mengalami dislokasi traumatis pada testis kanan di perut setelah kecelakaan sepeda motor," tulis penulis yang dikutip dari New York Post, Sabtu (14/10/2023).
ADVERTISEMENT
SCROLL TO CONTINUE WITH CONTENT
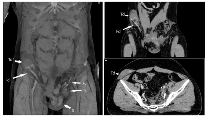
Pria yang tak disebutkan identitasnya itu awalnya mengalami kecelakaan motor. Hal itu membuat gonad atau kelenjar endokrin keluar dari skrotum dan melewati kanalis inguinalis, yaitu saluran kecil di selangkangan. Sampai akhirnya menetap di perut.
Pria tersebut langsung dilarikan ke rumah sakit. Saat diperiksa, ternyata ada darah beku di skrotum pria tersebut. Dokter juga memeriksa dan memastikan saluran kemih pria tersebut tak mengalami kerusakan apapun akibat kecelakaan.
Lebih lanjut, dokter melakukan CT scan untuk menemukan lokasi testis yang telah berpindah tempat. Hasilnya, testisnya berpindah tempat jauh ke perut kanannya.
"Jarang terjadi trauma atau cedera yang menyebabkan testis terkilir dari tempatnya di skrotum," kata dokter yang dikutip dari Live Science.
Dokter kemudian melakukan penanganan dengan menghangatkan testis yang kekurangan oksigen itu. Juga, mulai mengembalikan organ tersebut ke dalam soketnya melalui prosedur orkidopeksi, prosedur yang sering digunakan untuk merawat anak-anak yang buah zakarnya tidak turun sepenuhnya selama masa perkembangan.
Sekitar enam bulan menjalani perawatan dan pemulihan, organ pria tersebut telah kembali normal dan tidak mempengaruhi produksi hormon dan air maninya. Namun, kasus testis yang mengenai dinding usus seperti ini sangat jarang terjadi.
(suc/kna)











































