Jurnal Urology Case Reports baru-baru ini mempublikasikan sebuah kasus langka mengenai seorang wanita muda dengan batu vagina yang sangat besar di antara organ panggulnya. Diketahui, wanita berusia 27 tahun itu mengidap cerebral palsy spastik yang membuatnya terbaring di tempat tidur dan bergantung pada perawatan.
Dirinya juga memiliki riwayat inkontinensia urine, yakni kondisi berupa hilangnya kontrol otot kandung kemih yang menyebabkan seseorang kesulitan menahan buang air kecil.
Lebih lanjut, ia mengunjungi unit gawat darurat (UGD) setelah mengalami demam dan menggigil yang berlangsung selama tiga hari. Wanita tanpa diketahui identitasnya itu juga mengalami penurunan nafsu makan, muntah-muntah, dan sakit perut yang parah.
ADVERTISEMENT
SCROLL TO CONTINUE WITH CONTENT
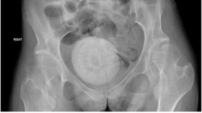
Ia kemudian menjalani pemeriksaan ginekologi dan dokter memastikan ada 'batu' seukuran jeruk besar di antara organ panggulnya.
Dokter yang menanganinya lantas memasang stent ureter kiri untuk mendekompresi ginjal. Pasien juga mulai diberikan antibiotik spektrum sambil menunggu prosedur kultur urine atau pemeriksaan untuk mendeteksi adanya bakteri di dalam urine. Hasil kultur urine pasien dinyatakan mengalami infeksi basil gram negatif, Pseudomonas aeruginosa.
Ia kemudian menjalani terapi target kultur untuk mengatasi infeksi tersebut.
Setelah infeksi teratasi, para dokter dari Universitas Lebanon, menggunakan terapi laser untuk memecah massa tersebut. Gelombang kejut USG dipancarkan dari alat tersebut ke perut pasien, di bagian luar tubuh.
Setelah dipecah menjadi beberapa bagian, batu-batu tersebut dikeluarkan menggunakan tang saat operasi yang berlangsung selama tiga jam. Batu vagina yang bersarang di antara organ panggul wanita tersebut sangat besar sehingga menekan kandung kemihnya. Kondisi ini mengurangi kapasitas dan menyebabkan kebocoran urine.
Setelah dioperasi, pasien kemudian dipulangkan dengan antibiotik, dan perawat disarankan untuk melakukan tindak lanjut yang dijadwalkan. Analisis batu yang ada di antara organ panggul wanita tersebut terbentuk dari campuran kalsium oksalat dan kristal struvite.
Di samping itu, dokter menjelaskan batu vagina seperti dialami wanita tersebut adalah kasus yang jarang. Mirip dengan batu ginjal, batu vagina biasanya dipengaruhi oleh berbagai faktor termasuk pola makan, pH urine, stasis urine, microbioma, hormon seks, dan genetik.
(suc/vyp)











































