Seorang wanita berusia 20 tahun di Taiwan yang kecanduan boba mengalami keluhan yang aneh di perutnya. Setelah diperiksa ternyata ada lebih dari 300 batu ginjal di tubuhnya akibat kebiasaan tersebut.
Dilaporkan Strait Times, wanita tersebut, yang diidentifikasi oleh Pusat Medis Chi Mei sebagai Xiao Yu, minggu lalu dirawat di rumah sakit di kota Tainan, dengan demam dan nyeri parah di punggung bawahnya.
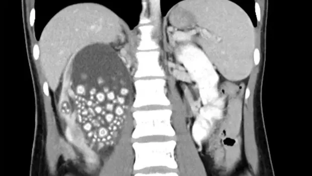
Melalui pemindaian ultrasonografi, dokter di unit gawat darurat menemukan bahwa ginjal kanannya bengkak berisi cairan dan terdapat batu ginjal di dalamnya. Hasil CT scan menunjukkan bahwa batu tersebut berukuran sekitar 5 mm hingga 2 cm, dan tes darahnya menunjukkan peningkatan jumlah sel darah putih.
ADVERTISEMENT
SCROLL TO CONTINUE WITH CONTENT
Temuan batu ginjal di wanita yang doyan boba Foto: Chi Mei Medical Centre |
Dokter lalu memberinya antibiotik, mengeluarkan cairan dari ginjalnya dan melakukan operasi invasif minimal untuk menghilangkan lebih dari 300 batu ginjal.
Kondisi pasien stabil setelah operasi dan dipulangkan setelah beberapa hari observasi, tambahnya.
Dr Lim Chye-yang, ahli urologi yang melakukan operasi tersebut, mengatakan 9,6 persen orang di Taiwan mungkin terkena batu ginjal seumur hidup mereka, dan pria tiga kali lebih mungkin terkena batu ginjal dibandingkan wanita.
Pengidap batu ginjal biasanya berusia antara 50 dan 60 tahun, tambahnya.
Dr Lim mengatakan kasus batu ginjal lebih sering terjadi pada musim semi dan musim panas karena cuaca panas, yang berarti orang mungkin lebih mengalami dehidrasi. Ketika urine menjadi lebih pekat, mineral bergabung dan mengkristal membentuk batu.
Disebutkan bahwa pasien, Xiao Yu, tidak suka minum air putih dan malah sering minum boba.
Penyebab batu ginjal lainnya antara lain faktor genetik, penyakit kronis, serta pola makan tinggi kalsium dan protein.
(kna/kna)












































