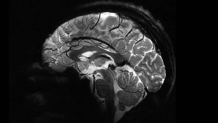
Alat MRI paling canggih di dunia memungkinkan peneliti untuk melihat detail otak manusia. Hasil pemindaiannya mencapai tingkat presisi baru yang memberikan pencerahan pada misteri tentang otak dan penyakit yang menghantuinya.
Medan magnet yang diciptakan oleh MRI tercanggih ini adalah sebesar 11,7 tesla, sebuah unit pengukuran yang dinamai menurut penemu Nikola Tesla. Di layar komputer, peneliti membandingkan gambar yang diambil oleh pemindai yang dijuluki Iseult ini, dengan gambar dari MRI normal.
"Dengan mesin ini, kita bisa melihat pembuluh darah kecil yang memberi makan korteks serebral, atau detail otak kecil yang selama ini hampir tidak terlihat," ujar Alexandre Vignaud, fisikawan dari France's Atomic Energy Commission (CEA) yang terlibat dalam proyek tersebut dikutip dari SCMP.
ADVERTISEMENT
SCROLL TO CONTINUE WITH CONTENT
Di dalam silinder yang panjangnya lima meter dan tinggi, mesin ini menampung magnet seberat 132 ton yang ditenagai oleh kumparan yang membawa arus 1.500 amp. Ada celah sepanjang 90 sentimeter yang bisa dimasuki manusia.
Memanfaatkan kekuatan 11,7 tesla akan membantu Iseult untuk "lebih memahami hubungan antara struktur otak dan fungsi kognitif, misalnya ketika kita membaca buku atau melakukan perhitungan mental," kata Nicolas Boulant, direktur ilmiah proyek tersebut.
Para peneliti berharap kekuatan pemindai ini dapat menjelaskan mekanisme yang sulit dipahami di balik penyakit neurodegeneratif seperti Parkinson atau Alzheimer atau kondisi psikologis seperti depresi atau skizofrenia.
"Misalnya, kita mengetahui bahwa area tertentu di otak seperti hipokampus terlibat dalam penyakit Alzheimer, jadi kami berharap dapat mengetahui cara kerja sel di bagian korteks serebral ini," kata peneliti CEA, Anne-Isabelle Etienvre.
Para ilmuwan juga berharap dapat memetakan bagaimana obat-obatan tertentu yang digunakan untuk mengobati gangguan bipolar, seperti litium, didistribusikan melalui otak.
Medan magnet kuat yang dihasilkan MRI akan memberikan gambaran lebih jelas bagian otak mana yang menjadi sasaran litium. Hal ini dapat membantu mengidentifikasi pasien mana yang akan memberikan respons yang lebih baik atau lebih buruk terhadap obat tersebut.
(kna/kna)











































