Seorang anak laki-laki berusia tujuh tahun datang ke unit gawat darurat pediatrik dengan dugaan riwayat tertelan pensil secara tak sengaja empat jam saat memainkannya. Secara ajaib, pensil tersebut masuk ke dalam tubuhnya tanpa memicu efek samping atau keluhan apapun. Kasus ini dipublikasikan di Radiology Case Reports.
Dalam jurnal tersebut, dokter merinci bahwa anak laki-laki dari Nepal itu tak memiliki riwayat muntah, sakit perut, atau kembung, demam, hematemesis, atau hematochezia. Anak itu dapat buang air besar dan kentut secara normal, kebiasaan buang air kecil juga dilaporkan normal.
Pemeriksaan juga menunjukkan bocah tersebut aktif dan suka bermain dengan tanda vital cukup stabil. Keseluruhannya pemeriksaan umum menunjukkan hasil yang normal.
ADVERTISEMENT
SCROLL TO CONTINUE WITH CONTENT
Tak dijelaskan alasan mengapa anak berusia tujuh tahun tersebut menelan pensil. Namun petugas medis dari Kathmandu Medical College and Teaching Hospital, meyakini bahwa kasus ini adalah yang pertama terjadi.
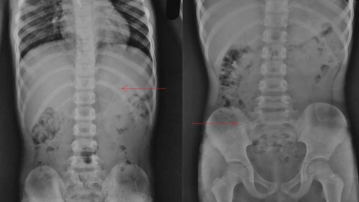
Bocah tersebut kemudian menjalani radiografi pada leher, dada, dan perut. Berdasarkan hasilnya, pensil yang tertelan sepanjang 10 cm itu tertancap di perutnya. Akan tetapi, dokter tidak menemukan efek samping yang buruk terhadap anak tersebut.
"Tidak ada bukti komplikasi yang tercatat, dan panjang pensil diperkirakan sekitar 10 cm, mengingat panjangnya pada radiografi dan skala pada mesin sinar-X," kata dokter dikutip dari jurnal tersebut.
"Karena kurangnya endoskopi pediatrik, diputuskan untuk menjaga anak dalam keadaan darurat di bawah observasi kritis selama 8 jam ketika rontgen ulang pada perut dijadwalkan. Setelah laparoskopi tidak lagi dilakukan, laparotomi eksplorasi segera dilakukan untuk mengeluarkan pensil jika ada tanda-tanda eksaserbasi yang muncul," lanjutnya.
Bocah laki-laki tersebut kemudian diobservasi selama delapan jam, serta disarankan minum banyak cairan dan hanya diperbolehkan makan pisang.
Setelahnya, bocah tersebut menjalani pemindaian kedua yang menunjukkan pensil itu berada di dekat persimpangan ileocecal, katup otot yang memisahkan usus kecil dan usus besar.
Dia dijadwalkan untuk menjalani rontgen lagi delapan jam kemudian. Tapi saat menunggu, ibunya tiba-tiba mengungkapkan bahwa anak laki-laki itu telah mengeluarkan pensil melalui anusnya sebagai satu potongan panjang dan beberapa potongan kecil yang bercampur dengan tinja.
Petugas medis kemudian memastikan hal ini dengan melakukan pemindaian ketiga. Hasilnya, tidak menemukan jejak benda tersebut di saluran pencernaannya. Anak laki-laki itu dipulangkan keesokan harinya dan tidak memerlukan janji tindak lanjut.
Dalam tulisannya di jurnal Radiology Case Reports, petugas medis mengatakan menelan 'benda asing' adalah hal biasa di antara anak-anak berusia enam bulan hingga enam tahun.
Sekitar 80 hingga 90 persen kasus 'benda asing gastrointestinal' hilang tanpa disengaja dan tidak memerlukan intervensi apa pun.
Namun, 'sangat sulit' bagi benda asing yang panjang dan tajam untuk keluar secara alami karena adanya empat penyempitan besar di perut, tambah mereka.
(suc/kna)











































